Department of Pathology,
University of Oklahoma Health Sciences Center

Medulloblastoma (WHO Grade IV/IV)
Click
on thumbnails to see enlarged pictures.
- Panel A: Medulloblastoma arise with the
posterior fossa. In this particular case, the tumor filled and expanded the
4th ventricle (IV).
- Panel B: Medulloblastoma often lead to
obstruction of the flow of cerebral spinal fluid (CSF) and lead to
hydrocephalus.
- Panel C: Medulloblastoma has a high tendendy to
disseminate throught the brain and spinal cord. The tumor cells are
illustrated by the arrow. Therefore, treatment for medulloblastoma usually
includes irradiation of the entire brain and spinal cord.
Click
on thumbnails to see enlarged pictures.
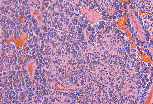
- Panel A: Medulloblastoma is typically a densely
packed, highly cellular small blue cells neoplasm with small and hyperchromatic nuclei. In contrast to medulloepithelioma,
the tumor cells arrange in solid sheets without forming any specific
pattern. This pattern is more reminiscent of the early but not earliest
stage of embryonal development of the central nervous system.
Occasionally, Homer Wright rossettes can be seen in medulloblastomas.
Mitotic activity is very brisk and many apoptotic bodies are also
present.
- Panel B: The cell boundaries between different
cells cannot be distinguish in medulloblastoma cells. The cytoplasm often
appear slightly fibrillary and they are called neuropils.
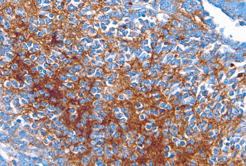
- Panel C: The morphologic features of
medulloblastomas is that of a small blue cell tumor without significant
morphologic details for classification. At the molecular level, expression
of markers suggestive of certain lineage of differentiation can be detected
by immunohistochemistry. In this photo, the tumor strongly express (brown
stain) synaptophysin, a protein that is associated with neuroendocrine
differentiation. Medulloblastomas also often express other markers that is
associated with neuronal and glial differentiation.
For
Comment: KarMing-Fung@ouhsc.edu