Case No.: K-001  Quiz 

Diagnosis: Myelolipoma

Organ: Adrenal gland

Last Updated: 08/21/2010

 

Online Slide/Full Screen/Open with ImageScope

Hematoxylin & eosin

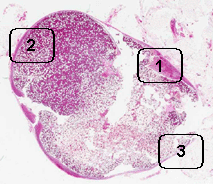
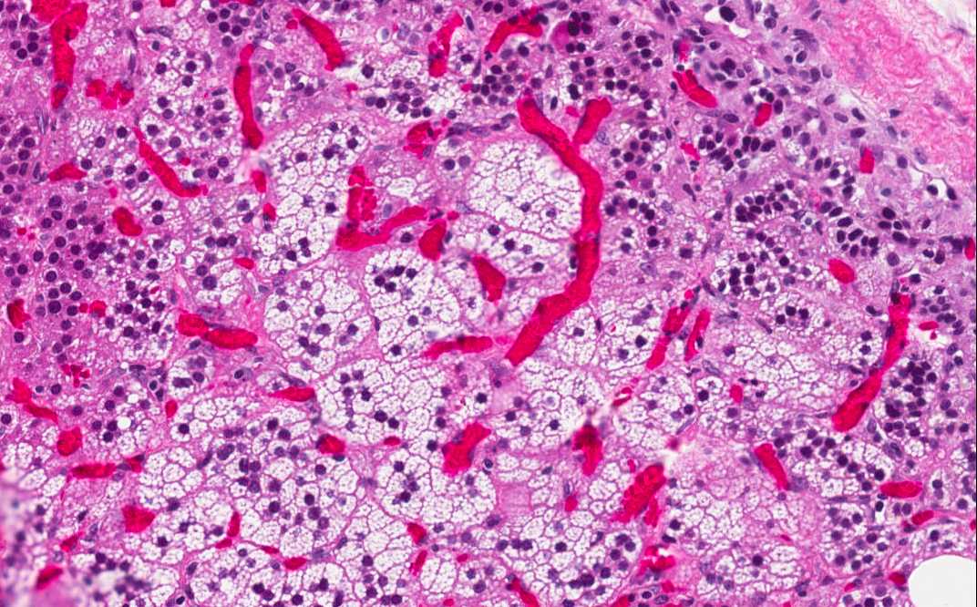
Area 1: A rim of residual adrenal cortex is present (A) which is separated from the tumor (T). The periadrenal fat (F) is separated from the adrenal gland by a thin layer of fibrous tissue which represent the capsule of the adrenal. Note that the residual cells of the adrenal cortex has many foamy cells due to their high fat content and a rich vascular network which is a common features of many endocrine organs.

Hematoxylin & eosin

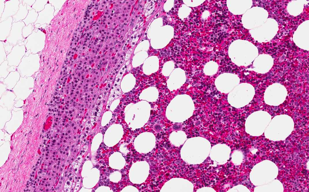
Area 2: This image is taken from an area where there the tumor has an interface with the residual adrenal cortex. In this area, there are individual adipocytes (A) separated by a backgound of myeloid cells (M). In the high magnification image, you can see a spectrum of myeloid cells in different stages of maturation as well as occasional megakaryocytes.

Hematoxylin & eosin

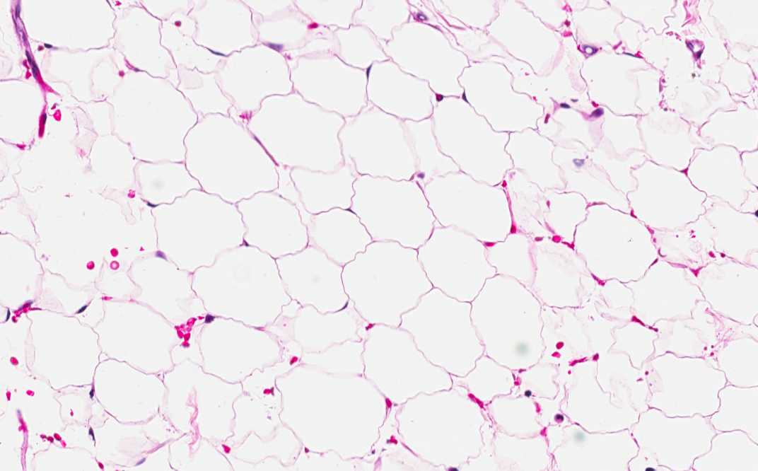
Area 3: Compare area 2 to the periadrenal adipose tissue, there is no myeloid cells in the peradrenal adipose tissue.

History: The patient was a 50 year old man who was presented to the hospital because of a right kidney mass that is 4.0 cm in diameter that involved the upper pole. A radical nephrectomoy with adrenectomy and the renal tumor was diagnosed to be an clear cell (conventional) renal cell carcinoma, Fuhrman grade II. An incidental 1.2 cm, well demarcated, gray tan nodule was found in the adrenal. The images here are representative of this nodule.

 

Histologic Highlights of this Case: This section shows a nodule with a thin capsule which represent the capsule of the adrenal gland. There are some crescents of residual adrenal cortical tissue at the periphery of the nodule. The thin capsule represents the capsule of the adrenal gland. The tumor which is composed of a variable mixture of mature adipocytes and mature myeloid cells with trilineage maturation. Note that even though the tumor is well demarcated from the residual adrenal cortex, there is no fibrous septa or capsule between the tumor and the residual adrenal cortex. These cells contains a population identical to mature and active bone marrow. These features are characteristics of adrenal myelolipomas.

 

Differential Diagnosis:

  • Myelolipoma must be distinguished from extramedullary hematopoiesis and extramedullary hematopoietic tumor. They are usually multifocal and does not limit to adipose tissue. They are often secondary to severe anemia and associated with splenomegaly and hepatomegaly (major sites of extamedullary hematopoiesis). They are also frequently associated with various myeloproliferative diseases, myelosclerosis, and skeletal disorders.

Comment:

  • Myelolipoma is an uncommon, benign tumor and most of them are found in the adrenal glands. Extra-adrenal myelolipomas have been reported but they are rare. They usually do not have functional (hematopoietic consequence)

  • Most of them are asymptomatic particularly when they are small and therefore they are usually incidental finding on routine imaging and in autopsy. When they are large, they may mimic adrenal tumors, renal tumors and retroperitoneal tumors. Percutaneous biopsy may be needed to obtain a diagnosis before surgical resection.

  • Grossly, they may vary from a small nodule to a small mass of a few centimeters in size. They often expands the adrenal cortex and grossly may suggest adrenal cortical adenomas. Myelolipomas, particularly the larger ones, may also be infarcted or hemorrhagic.

  • Histologically, they are composed of a variable mixture of mature myeloid cells and mature adipocytes as illustrated in this case. The tumor is well demarcated from the residual adrenal cortex as illustrated here.

  • Recent demonstration of nonrandom x-chromosome inactivation in both the hematopoietic elements and adipocytes indicates that the adipocytes and hematopoietic component in myelipoma have the same clonal origin and porves that both components are neoplastic in nature and are related (Bishop E, Eble JN, Cheng L, et al., Am J Surg Pathol. 2006 Jul;30(7):838-43).. Past theories of this tumor including hamartomatous origin, adrenal cortical cells dedifferentiate into adipocytes and hematopoiecit stem cells under the local influence of a hormone, hematopoietic cells differentiating from endothelium of the rich capillary bed of the adrenal glands, and that myelolipoma is a lipomatous site of extramedullary hematopoiesis.  

  • Further information: http://emedicine.medscape.com/article/376700-overview

Original slide is contributed by Dr. Kar-Ming Fung, University of Oklahoma Health Sciences Center, Oklahoma, U.S.A.

 Home Page