Case No.: K-004  Quiz 

Diagnosis: Chromophobe renal cell carcinoma, eosinophilic variant

Organ: Kidney

Last Updated: 12/21/2011

 

Online Slide/Full Screen/Open with ImageScope

Hematoxylin & eosin

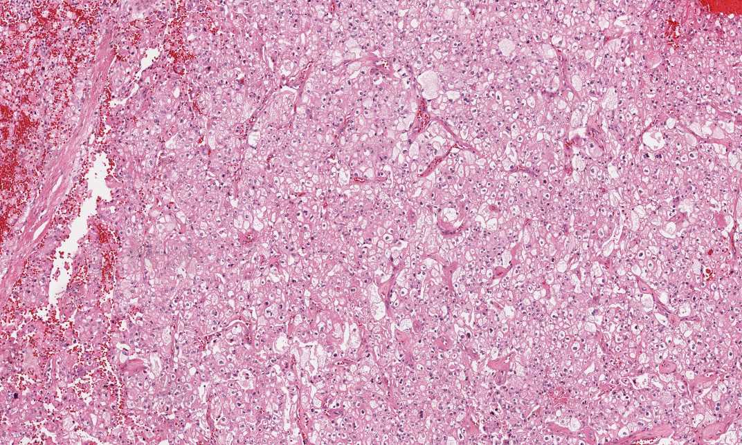
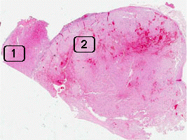
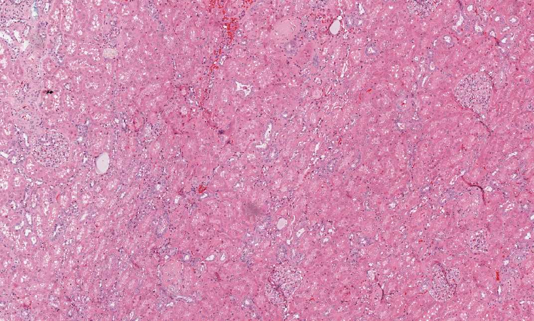
Area 1: This image is taken from the residual renal parenchyma and many glomeruli are present.

Hematoxylin & eosin

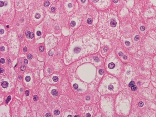
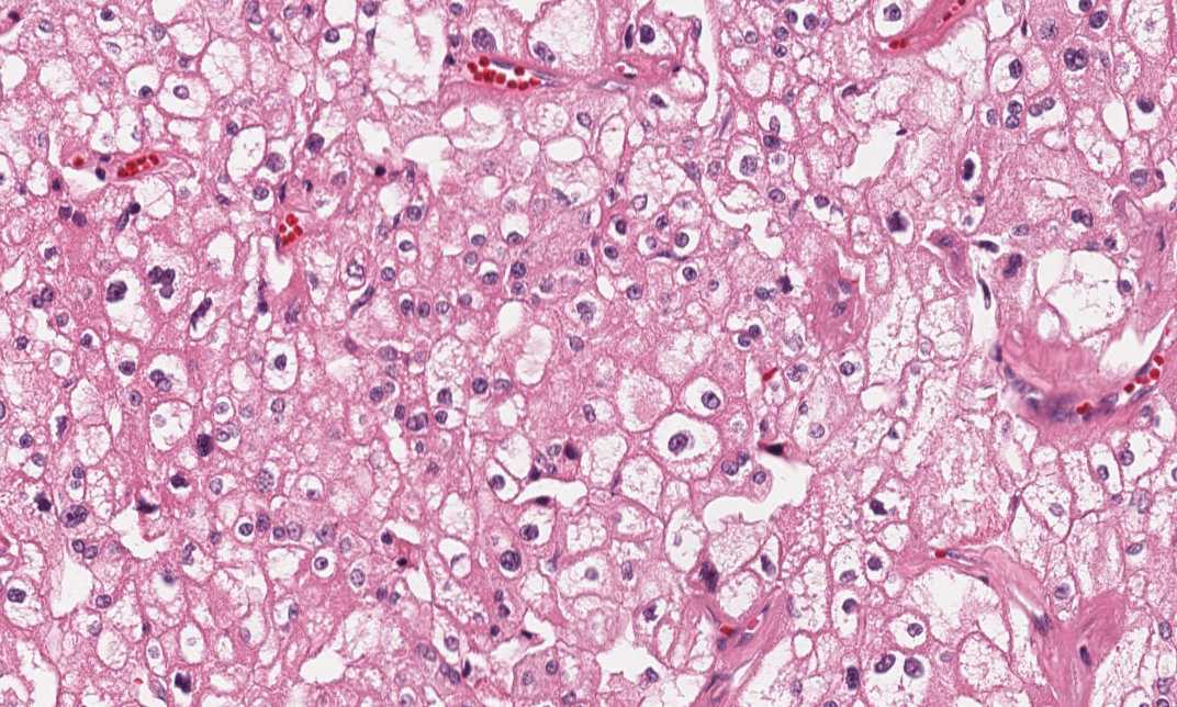
Area 2: Solid sheets of tumor cells with large polygonal tumor cells, distinct cytoplasmic borders, low-grade nuclei and perinuclear halo.

History: This slide was obtained from an adult. What is this organ and what is your diagnosis?

 

Histologic Highlights of this Case:

  • This is a kidney and residual renal parenchyma is present at the periphery of the tumor (Area 1).

  • The tumor (Area B) is composed of solid sheets of neoplastic, large round to polygonal cells with well-defined cell borders and amphophilic to slightly eosinophilic, granular cytoplasm admixed with a small population of polygonal cells with eosinophilic cytoplasm. Perinuclear halo is present in many of the tumor cells. The tumor cells have centrally located, mostly round, low-grade nuclei with small nucleoli.

Comment:

  • Although many of the cells have rather eosinophilic cytoplasm, distinct perinuclear halos are present in most of the tumor cells. This case can be considered an eosinophilic variant but the classic features of a chromophobe renal cell carcinoma are still rather distinct. In some cases with more extensive eosinophilic changes than the current one, those tumors may mimic oncocytoma. A special stain for colloidal iron or electron microscopy would be very helpful for diagnosis. Ultrastructurally, oncocytoma will contain numerous mitochondria and chromophobe carcinoma will contain numerous small cytoplasmic vesicles. It would, therefore, be a valuable practice toe procure a sample for electron microscopy particularly when the gross pathology deviates from renal cell carcinoma which typically have golden yellow cut surface.

Bonus Images:

Hematoxylin & eosin

High magnification: Many of the cells have a fine eosinophilic

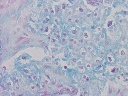
Hale's colloidal Iron

Colloidal iron: The cytoplasm of this tumor is stained blue with Hale's colloid iron stain.

Original slide is contributed by Dr. Kar-Ming Fung, University of Oklahoma Health Science Center, Oklahoma, U.S.A.

 Home Page