Case No.: N-016

Diagnosis: Colloid cyst with chronic inflammation and histiocytic (macrophage) infiltration

Organ: Brain, 3rd ventricle Quiz

Last Updated: 09/21/2010

 

Online Slide/ Full Screen/Open with ImageScope

Hematoxylin & eosin

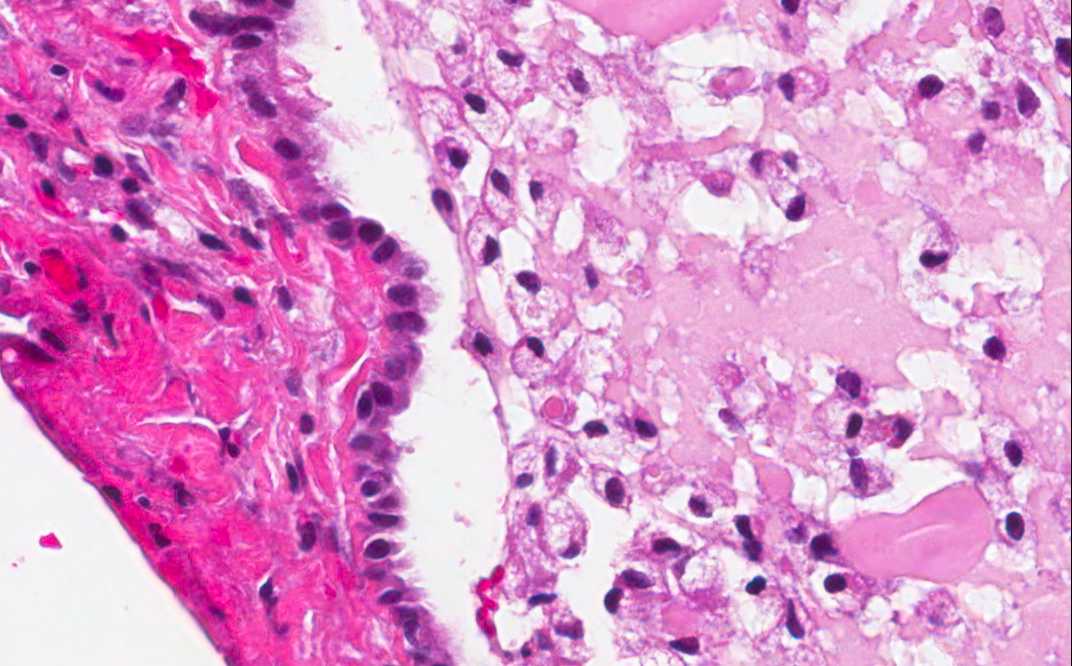
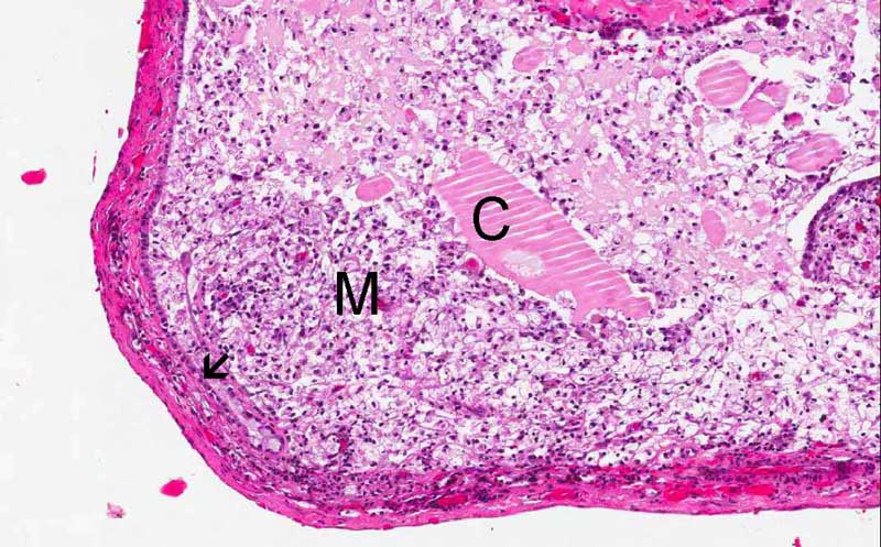
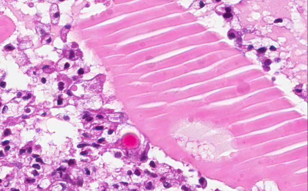
Area 1: The wall of the cyst is composed of a thin fibrous capsule with some chronic inflammatory cell infiltration in some areas. The colloid substance (C) resembles a slab of cut jello with fracture. The cyst is largely filled with foamy histiocytes (M). The lining epithelium (arrow) is a single layer cuboidal epithelium.

Hematoxylin & eosin

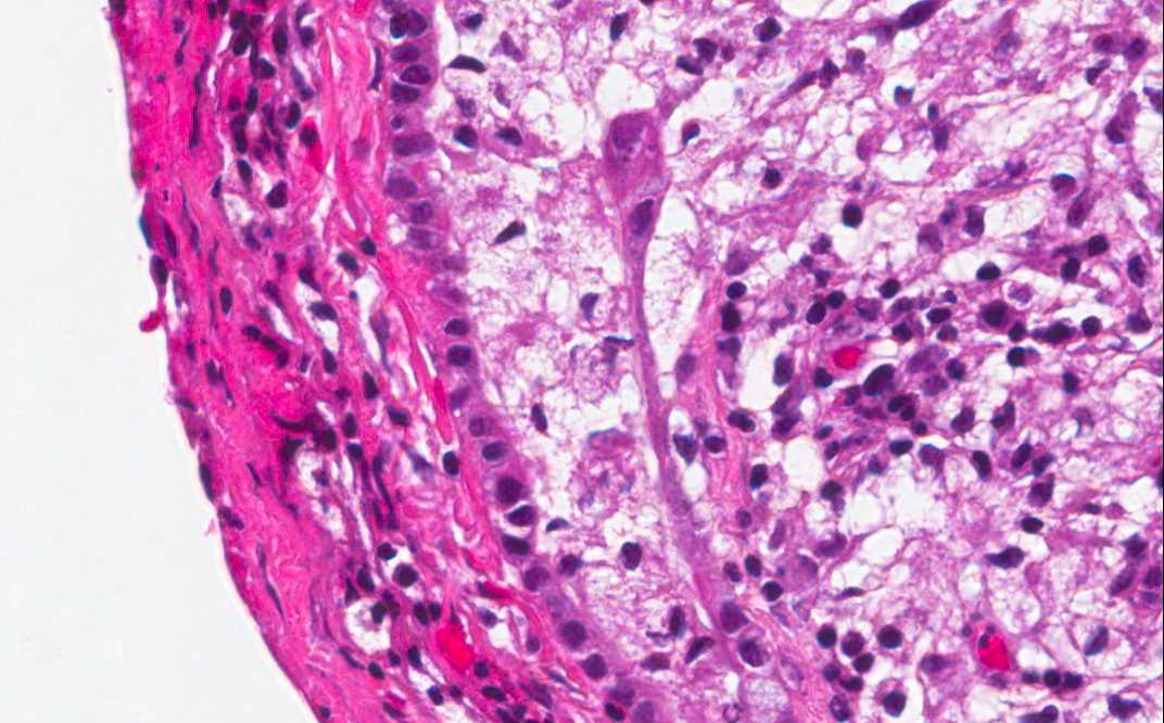
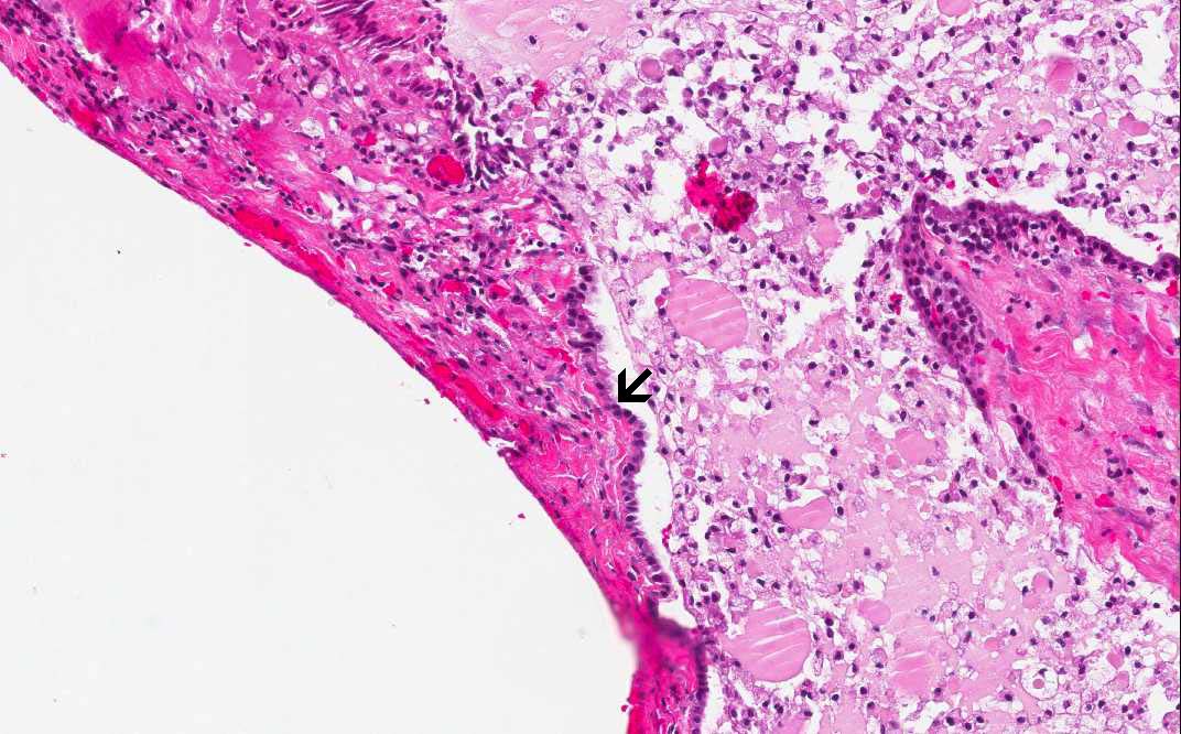
Area 2: The lining epithelium (arrow) is detacthed from the histiocytes. Some of the epithelial cells seem to have cillia.

Hematoxylin & eosin

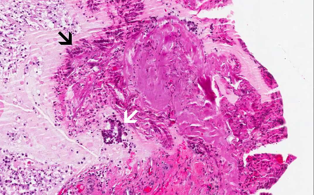
Area 3: The surface of this specimen has sustained cauterization artifacts. The characteristics include loss of details in fibrous tissue and streaming of nuclei (black arrow). Compare these cauterized cells with those free of cauterization artifacts (white arrow).

History: The patient was a 53 year-old man who presented with a 3 week old history of headache associated with walking and vision changes. Imaging studies demonstrated prominent dilation of lateral ventricles and a cyst in the third ventricle. On MRI scan, the cyst is 13 x 9 x 9 mm and is located at the roof of the third ventricle. It has an enhancing mural nodule. The cyst was removed and generated the specimen here.

 

Histologic Highlights of this Case:

  • The lesion is that of an intact cyst largely filled by foamy histiocytes and some colloid substances. A thin layer of cublidal to low columnar epithelium is lining the cyst (Area 1 and 2). There are also mild to moderate chronic inflammatory cell infiltration in the wall which indicates inflammation. At the periphery of the lesion has substantial cauterization artifacts (Area 3).

  • Most colloid cysts are not heavily infiltrated by foamy histiocytes as in this one, see bonus images below.

MRI T1-Contrast

MRI T2

Comment:

  • Colloid cysts classically locate in the rostral dorsal aspect of the 3rd ventricle and they are believed to be congenital in origin. This location is just posterior to the foramina of Monro, colloid cysts often cause hydrocephalus if their size is large enough by obstructing the foramin of Monro. For the same reason, it is well known that change of head position can be associated with discomfort but this manifestation is rather uncommon. The location, therefore, is a strong hint for diagnosis.

  • They are usually seen between the 3rd and 7th decades.

  • Grossly, they vary from a few millimeters to about 3-4 cm in maximum size.

  • The cyst is usually composed of a thin collagenous fibrous capsule lined by simple or pseudostratified layers of cuboidal or columnar (low to high) epithelium with or without cilia. Goblet cells can be seen.

  • The colloid content is usually preserved as a pale eosinophilic, translucent substance resembling a slab of cut jello. Histiocytic infiltration as illustrated in this case can be seen but is usually not a prominent feature.

Bonus Images:

Hematoxylin & eosin

Area 2: This specimen is taken from a different specimen. The colloid cyst is perfectly round, with a paper thin fibrous capsule, lined my a single layer of cuboidal epithelium, and free of histiocytic infiltration. Note that the bright blue substances are surgical inks that we use to mark the margin of specimens.

 

Original slide is contributed by Dr. Kar-Ming Fung, University of Oklahoma Health Sciences Center, Oklahoma, U.S.A.

 Home Page