Case No.: N-016

Organ: Brain, 3rd ventricle

Kar-Ming Fung, M.D., Ph.D.

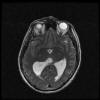
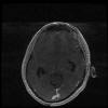
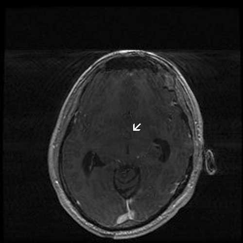
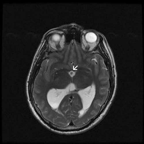
History: The patient was a 53 year-old man who presented with a 3 week old history of headache associated with walking and vision changes. Imaging studies demonstrated prominent dilation of lateral ventricles and a cyst in the third ventricle. On MRI scan, the cyst is 13 x 9 x 9 mm and is located at the roof of the third ventricle. It has an enhancing mural nodule. The cyst was removed and generated the specimen here.

 

What is your diagnosis?  Discussion

MRI T1-Contrast

MRI T2

Online Slide/ Full Screen/

Open with ImageScope

Please click on the icons above to view large image/online slide.

Use the Username and Password on top of this page to view online slides.

 Home Page