Case No.: N-024  Quiz 

Diagnosis: Glioblastoma, WHO grade IV

Organ: Brain

Last Updated: 3/21/2011

 

Online Slide/ Full Screen/ Open with ImageScope

Hematoxylin & eosin

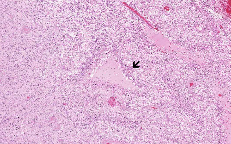
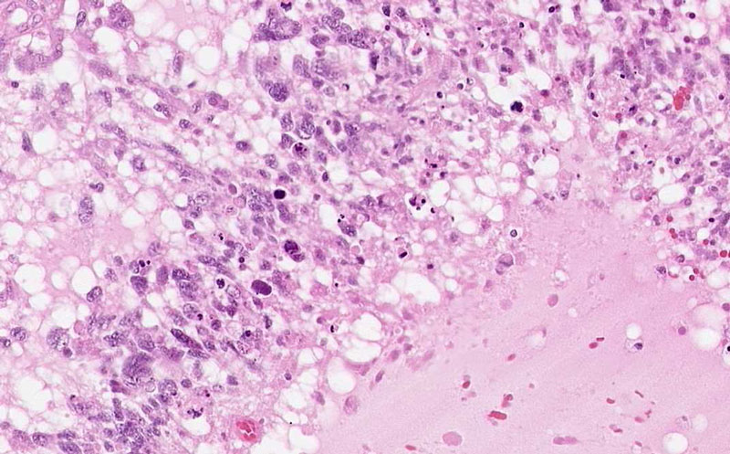
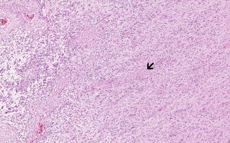
Area 1: Pseudopalisading necrosis (arrow) is one of the characteristics of glioblasoma. They typically occur as triangular (as illustrated here) or slit like necrosis ( as illustrated in other areas of this slides). Note that there is neoplastic proliferation of glial cells in the background.

Hematoxylin & eosin

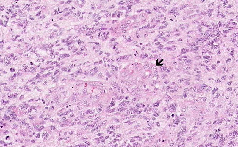
Area 2: Endothelial proliferation is also a classic feature of glioblastoma (arrow). Note that the vessels has form glomeruloid structures with complex structure and that the entothelial cells are plump and protrude into the lumen of the blood vessels.

Hematoxylin & eosin

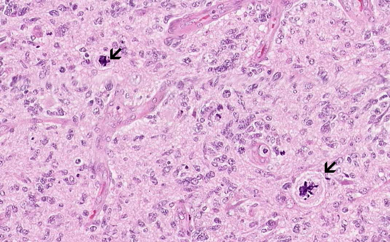
Area 3: Mitoses, including atypical mitosess (arrow), are common in glioblsastomas.

History: This slide was taken from the archive and the history was not provided. On MRI, this type of lesion typically occur as a ring enhancing lesion with substantial edema and mass effects.

 

Histologic Highlights of this Case:

  • This specimen is a classic for glioblastoma which was previously known as glioblastoma multiforme. The word multiforme refer to its range of histologic variation which could be  multiform. The term multiforme was dropped in the more recent edition of World Health Organization (WHO) classification.

  • This is basically a high grade glioma feature by pseudopalisading necrosis (Area 1) and endothelial proliferation (Area 2). The prognosis for this type of tumor is extremely poor,.

Original slide is contributed by Fred R Dee MD, Department of Pathology, University of Iowa. (Iowa Image Collection)

 Home Page