Case No.: N-025  Quiz 

Diagnosis: Resolved bilateral occipital lobe infarct

Organ: Brain, cerebral hemispheres

Last Updated: 11/21/2011

 

Online Slide/Full Screen/Open with ImageScope

Hematoxylin & eosin

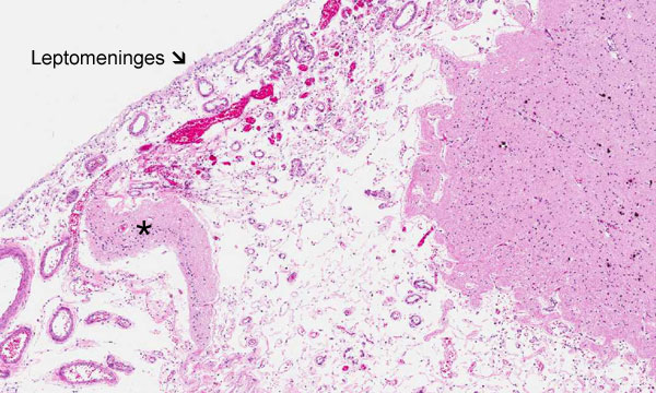
Area 1: Note that small fragments of gliotic brain parenchyma (*) are present under the leptomeninges. The space between the leptomeninges is filled with sparse fibrous tissue originating from the leptomeninges and blood vessels. Scant hemosiderin laden macrophages are also present.

Hematoxylin & eosin

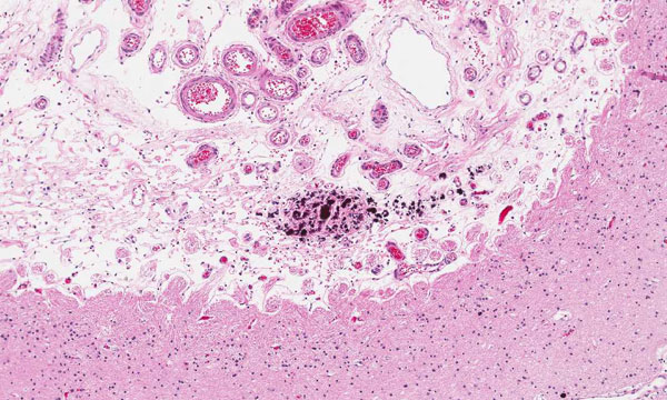
Area 2: The findings here is very similar to that of Area 1. Note the nodules of dark purple calcifications in the gliotic white matter.

Hematoxylin & eosin

Area 3: Clusters of dark purple calcifications are also present in the space between the leptomeninges and the gliotic white matter.

Hematoxylin & eosin

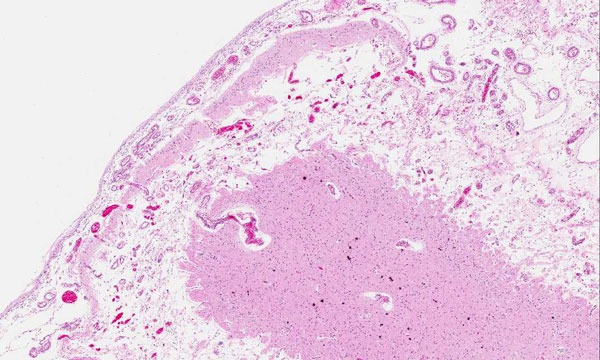
Area 4: Note that the space here is smaller than other areas. This area may be less affected at the time of the insult.

Hematoxylin & eosin

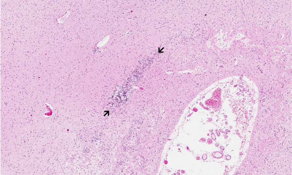
Area 5: This is even less severely affected than Area 4. Note that the streak of calcifications (between arrows) follow the shape of the neuronal layers.

History: The deceased was a 4 year-old boy who has a history of stroke and digital necrosis secondary to Enterococcus faecalis spesis at the age of 6 months. He died of natural causes with autopsy finding including cardiomegaly and dilated right ventricle consistent with right heart failure, chronic ischemic changes in myocardiac muscle, emphysema, chronic bronchitis, and bronchopneumonia.

 

On autopsy, there was bilateral softening and subpial cyst formation involving the occipital lobes with its distribution consistent with the territory of posterior cerebral artery. The slide being shown here was taken from the occipital lobe.

 

Histologic Highlights of this Case:

  • This slide is taken from the occipital lobe and include the occipital horn of the lateral ventricle (V).

  • The salient feature is destruction of the cortex. The cortex is replaced by a slit like space that follows the shape of the cortex. Within this space are blood vessels and scant hemosiderin laden macrophages. The brain parenchyma lining this space is gliotic. These findings are most consistent with lamina necrosis of the cortex.

  • Note that the stroke occurred three and a half years ago. The current pathologic changes are that of a resolved infarct and only scant macrophages are present.

  • Note that there are also calcifications in the brain parenchyma. These calcifications are very common in necrosis of the cortex and white matter in infants. They are not commonly seen in older children or adults.

Comment:

  • In this particular case, there is bilateral necrosis of the occipital lobe in the territory of the posterior cerebral artery. This may be resulted from the sepsis, brain edema leading to downward displacement of the brain and compression of bilateral posterior cerebral arteries which causes insufficient blood supply to affected area. Neurons have high metabolic rate. When blood supply is insufficient, they will undergo necrosis and yield this type of necrosis.

Original slide is contributed by Dr. Kar-Ming Fung, University of Oklahoma Health Sciences Center, Oklahoma, U.S.A.

 Home Page