Case No.: N-032  Quiz 

Diagnosis: Atypical teratoid/rhabdoid tumor (AT/RT)

Organ: Spinal cord L1-L4 and conus medullaris

Last Updated: 12/21/2014


MRI-T1 with contrast

MRI-T2

MRI-T2

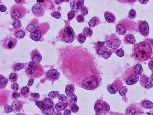
Cytologic squash preparation

Online Slide/Full Screen/Open with ImageScope

Frozen section

Online Slide/Full Screen/Open with ImageScope


Squash preparation
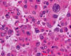
Squashed cytologic preparation: This smear is essentially diagnostic if you know what you are looking at. It is very important to understand that although rhabdoid cells are part of the features of AT/RT, the number of rhabdoid cells can vary from abundant to scant. Also, the rhabdoid features may not be as dramatic as those being shown in the text book. In this case, if you look at the cells in high magnification then you can see the prominent nucleoli and the moderate amount of eosinophilic cytoplasm. Both features are suggestive of AT/RT. Ependymomal tumors do not usually have these large, prominent nucleoli although they often possess a small but distinct nucleoli. The other differential diagnosis with large nucleoli and is common in pediatric age group is large cell/anaplastic medulloblastoma. However, there is no finding in the brain to suggest dissemination. The large and prominent nuclei may also suggest primary primitive neuroectodermal tumor (PNET) but they are not commonly encountered in PNET. Also, the moderate amount of eosinophilic cytoplasm are not in favor of disseminated medulloblastoma or PNET. These tumor usually contain only a thin rim of cytoplasm.

Frozen section

Frozen section: There is extensive necrosis. In the small piece of viable tumor, you can see some moderately sized cells with enlarged nuclei and prominent nucleoli (white arrow). The nuclei can be eccentrically located and these cells have a moderate amount of cytoplasm. These cells are the rhabdoid cells that you can see in AT/RT. Sometime, the cytoplasmic component is not as prominent and only enlarged nuclei with prominent nucleoli can be found (black arrow).

Intraoperative Consultation:

 

History: The patient was a 4 year old girl with recent history of difficulty in urination, and paresthesias of left lower extremity and pelvis for two weeks that eventually spread to the right leg. On MRI, there was an intradural mass at the conus medullaris that spanned the L1-L3 area. The lesion filled the spinal cord and was enhancing. The radiographic differential diagnoses include ependymoma.

 

Intraoperative consultation: There is clearly a large, enhancing, intradural tumor that involves the spinal cord from L1-L3. The conus medullaris is also involved. There seems to be no involvement of the bone. The distended urinary bladder is most likely secondary to involvement of the nerve roots in the lumbar spine.

 

Differential diagnoses: Based on the radiology and the clinical presentation, several differential diagnoses can be considered with ependymoma with one of the most common one. However, other tumors can give similar pictures.

 

 

Online Slide/Full Screen/Open with ImageScope

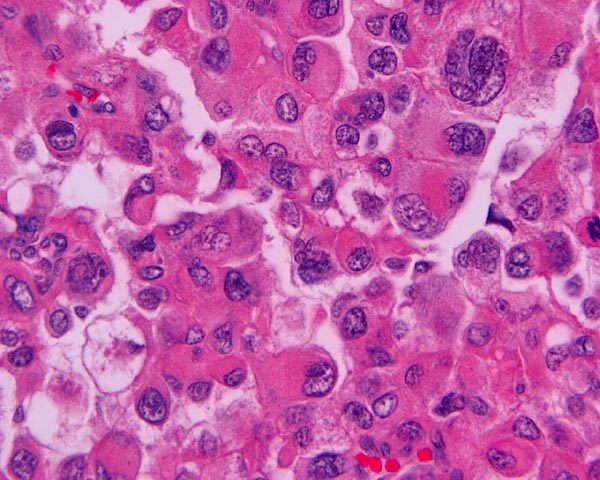
Hematoxylin & eosin

Area 1: The tumor cells have enlarged nuclei and eosinophilic, prominent nucleoli. However, the cytologic features are not distinctly rhabdoid.

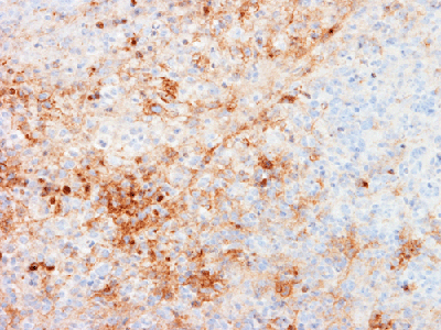
EMA
Epithelial membrane antigen (EMA): In contrast to medulloblastoma and PNET, AT/RT is often positive for EMA. The other common tumor that is often, but not always, positive for EMA in this location and age group is ependymoma.

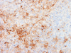
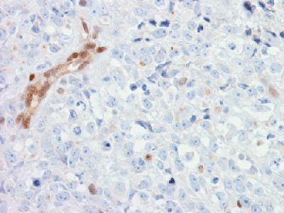
BAF47
BAF47: Note that the tumor cells are negative but the entrapped endothelial cells are positive. This indicates that the protein coded by hSNF5/SMARCB1/INI1 is absent. The gene is either deleted or mutated.

Histologic Highlights of this Case:

  • The staining of this section is a little pale, however, the enlarged nuclei with prominent nucleoli are well demonstrated. In fact, the cells do not look overtly rhabdoid (Area 1). Mitotic figures are common and there are also areas of necrosis. The tumor cells do not demonstrate any specific pattern of arrangement.

  • Retrospectively, the squashed cytologic preparation and the frozen section demonstrate the rhabdoid features better.

Immunohistochemistry:

  • BAF47: Negative in tumor cells, positive nuclear immunoreactivity in endothelial cells.

  • Vimentin: Diffusely positive in tumor cells.

  • Pancytokeratin and epithelial membrane antigen (EMA): Positive in a minor subset of tumor cells.

  • Neurofilament proteins: Rare positive tumor cells.

  • Desmin, smooth muscle actin, glial fibrillary acidic protein (GFAP), synaptophysin, chromogranin, CD45: Negative in tumor cells.

  • Ki67 labeling index: up to 50%.

Discussion:

  • Obviously, rhabdomyosarcoma is in the differential diagnosis because of the rhabdoid features and the young age of this patient. AT/RT, however, is negative for desmin.

  • The tumor is that of a high grade neoplasm. The critical information on immunohistochemistry is the negative immunoreactivity of BAF47 which indicates a loss of expression of the protein coded by hSNF5/SMARCB1/INI1 on chromosome 22q. Loss of function of this gene, often due to deletion and less commonly due to mutation, is a molecular hallmark of AT/RT. Fluorescent in situ hybridization often demonstrate deletion of 22q in these tumor. This feature was often used as a diagnostic aid in the past when BAF47 was not available.

  • AT/RT is polyphenotypic and tends to be focally positive for multiple markers that include cytokeratin, EMA, Neurofilament proteins, GFAP, smooth muscle actin, CD99 and others. The tumor cells with rhabdoid features are uniformly positive for vimentin. The cytoplasmic inclusion like collection of intermediate filament is rich in vimentin and well illustrated with immunohistochemistry for vimentin.

  • Glial tumor: High grade glioma is in the differential diagnoses. However, the tumor is negative for GFAP and the morphology is not really suggestive of a glioma. ALso, glial neoplasms are positive for BAF47.

  • Ependymomal tumor: Although positive immunoreactivity for EMA, the location and age are all good for ependyma and anaplastic ependymoma, the cytology is not. In particular, there is no histologic perivascular pseudorosettes or ependymal canal. Ependymomal tumors are also positive for BAF47.

Bonus Images from another case:

Rhabdoid cells in cytologic preparation: Note the large cell at the center has a big belly of cytoplasm and at the center is an inclusion body like structure which is rich in vimentin.
Rhabdoid cells in cytologic preparation: Note the enlarged, eccentrically located nuclei with prominent nucleoli. Note the cytoplasmic inclusion like collection of vimentin rich filament. Under the best optical condition and well prepared slides, these filaments can give a vague fibrillary appearance under the microscope.

Contributed by Kar-Ming Fung, M.D., Ph.D., University of Oklahoma Health Sciences Center, Oklahoma, U.S.A.

 Home Page