| A 25 year-old Woman with a Vertebral Mass. April, 2003, Case 304-2. Home Page |
Kar-Ming Fung, M.D., Ph.D. and Richard W. Leech, M.D. Last update: April 30, 2003.
Department of Pathology, University of Oklahoma Health Sciences Center, Oklahoma City, Oklahoma
Clinical information: 25 year-old woman with vertebral/ paravertebral mass and compression fracture of the thoracic spine.
Pathology:
Gross pathology: Surgery yielded an irregular 3.0 x 2.2 x 0.5 cm aggregate of tan fibrous tissue and bony tissue; individual tissue fragments were 1.0 to 0.3 cm in greatest dimension.
Histopathology:
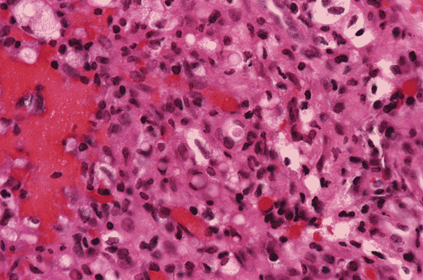
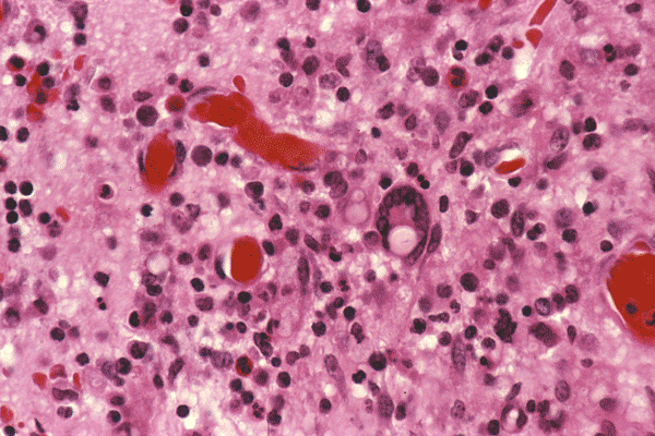
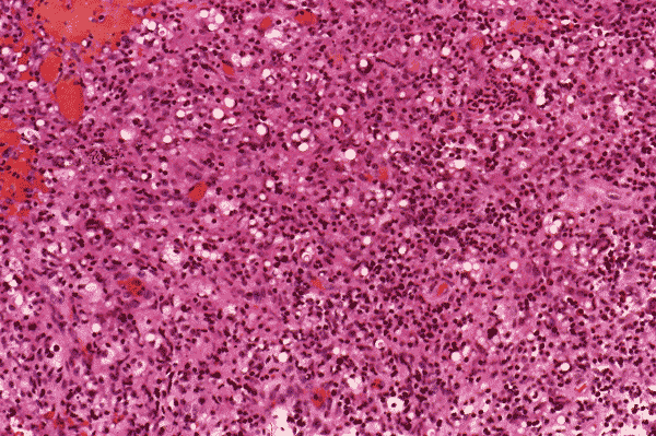
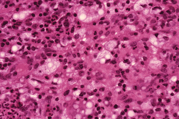
The overall pathology is that of a granulomatous inflammation with acute and
chronic inflammatory cell infiltration as illustrated in
A,
B,
C,
and
D. Yeast form microorganisms with thick
refractile walls are present as illustrated in
B,
C, and
D. On
Gomori’s
methenamine silver (GMS) stained sections, yeasts with single broad based buds
are illustrated in
E.





A.
B.
C.
D.
E.
| DIAGNOSIS: Blastomycosis involving the spine with compression fracture and compression of the spinal cord. |
Discussion: General Information Pathology
General Information
Blastomycosis, also known as North American
blastomycosis or Gilchrist’s disease, is found predominantly in North America
and is endemic in the south-eastern regions of the United States including the
Mississipi and also in Africa; it can also be found in other parts of the
world. Blastomyces dermatidis, the causative agent is found in soil and
decayed wood and often affects agricultural workers. In sporadic cases
(non-epidemic cases), most of the affected persons are middle-aged man.
Blastomycosis may occur in an immune competent patient but also as an opportunistic infection in AIDS patients and in patients with underlying abnormal T-cell function. The route of entry is through the respiratory tract to the lung. Systemic dissemination to other organs including the brain can follow. It shares many clinical and pathological features of tuberculosis and, therefore, often mistaken clinically as tuberculosis.
The lung is
affected in at least 95% of the case. The less commonly affected organs include
bone and prostate. The brain is involved in about 5% if the cases. In
disseminated cases, the skin is involved in about 50% of cases and the brain is
involved in 25% of cases.
Infection of the central nervous system can occur
as meningitis, meningoencephalitis, and brain abscesses.
Evidence of pulmonary disease is usually found in patients with CNS
blastomycosis.
Meningitis is the
most common form and typically occurs late in the course of disseminated
disease; it may also be resulted from local extension. Since it may be localized
at the cranial base, they often share clinical features of tuberculous
meningitis. Meningoencephalitis, single or multiple brain abscesses can also
occur. Local involvement of the vertebral column and paravertebral tissue often
leads to bone involvement, compression fracture and compression of the spinal
cord as illustrated in this case. Extension into the epidural space can also
produce a mass which may produce cord compression. A definite diagnosis can only be
established by isolating the organism. There is no reliable serologic test and
CSF culture is rarely positive even in cases of
B. dermatidis meningitis.
An open biopsy to obtain tissue for culture is often necessary to establish the
diagnosis.
B.
dermatidis
is a typical dimorphic organism; it is found in
the mycelial form at room temperature and as a yeast with broad-based budding in
living tissue.
The
organisms can be easily found on hematoxylin-eosin stained sections.
They occur as yeast of
10-25
mm in
diameter. The centrally located fungal cell cytoplasm is basophilic to
amphophilic and is 8-15 mm in diameter (so-called “basophilic body”); the
cell wall is thick, refractile and poorly stained. Single broad based budding is
a typical feature. It must be distinguished from the multiple buds that are seen
in Paracoccidodes brasiliensis (South American form of blastomycosis).
Both
Gomori’s
methamine silver (GMS) and Periodic acid-Schiff (PAS)
stains can
demonstrate the yeast well.
B.
dermatidis
are
sometimes weakly positive for Mayer’s mucicarmine and should not be confused
with cryptococcus.
Further Reading:
Sepkowitz K and Armstrong D. Space-occupying fungal lesions in Infections of the central nervous system. Edited by Sched WM, Whitley RJ, Durack DT. Lippincott-Raven, Philadelphia, 1997, page 753-754.
Roos
KL, Bryan JP, Maggio WW, Jane JA, Scheld WM. Intracranial
blastomycoma. Medicine (Baltimore).
1987 66:224-35.
Friedman
JA, Wijdicks EF, Fulgham JR, Wright AJ. Meningoencephalitis due
to Blastomyces dermatitidis: case report and literature review.
Mayo Clin
Proc. 2000 75:403-8.
Mirra
SS, Trombley IK, Miles ML.Blastomycoma of the cerebellum. An
ultrastructural study. Acta Neuropathol (Berl). 1980 50:109-14.
Buechner
HA, Clawson CM. Blastomycosis of the central nervous system. II.
A report of nine cases from the Veterans Administration Cooperative Study.
Am Rev Respir Dis. 1967 95:820-6.
Hadjipavlou
AG, Mader JT, Nauta HJ, Necessary JT, Chaljub G, Adesokan A.
Blastomycosis of the lumbar spine: case report and review of the literature,
with emphasis on diagnostic laboratory tools and management.
Eur Spine J.
1998 7:416-21.
Saccente M, Abernathy RS, Pappas PG, Shah HR, Bradsher RW. Vertebral blastomycosis with paravertebral abscess: report of eight cases and review of the literature. Clin Infect Dis. 1998 26:413-8.
Progressive vertebral blastomycosis mimicking tuberculosis. Pediatr Infect Dis J. 1995 14:816-8.