| A 56 year-old Woman with
a Rash and Generalized Weakness. October, 2003, Case 310-1. Home Page |
Clinical information:
General:
The patient is a 56-year old right-handed woman with hypothyroidism, depression and kidney stone. She developed rash on her chest a year ago and that has progressed to involve her face, arms and trunk. She reported pain and stiffness in her hands and joints and developed gradual weakness in her arms and legs that has recently progressed to the severity that limit her activities in daily living and chores. She was started on Prednisone with some improvement in her symptoms but when she was tapered down on Prednisone, her symptoms would resume. She does not report any breathing problem, swallowing problem, weight loss, night sweats or any bowel or bladder incontinence.
Neurologic examination
MS and Cranial nerves: Normal cortical function; normal cranial nerve function.
Motor: neck strength was normal. In the upper extremities, she has proximal weakness with 4+/5 in deltoid, biceps and triceps; distal strength is 5/5. In the lower extremities, there is proximal weakness with 4/5 strength in gluteus medius and normal strength distally. There is no evidence of wasting or reduced muscle tone.
Sensory: Intact to pinprick, temperature, vibration and position.
Reflex: Absence of ankle reflexes, 1/5 in all the all other areas, no Babinski sign.
Gait/Coordination: Positive Gower's sign, normal gait, slightly difficulty in tendem walking.
Laboratory studies
Erythrocyte sedimentation rate (ESR): 57 mm/hr (normal is 0-20 mm/hr).
Serum creatine kinase (CPK): 278 U/L (normal is 20-140 U/L).
Nerve conduction studies/EMG: Moderately severe, nonspecific, generalized myopathy with electrophysiologic evidence of short duration and amplitude of motor potentials without active denervation or reinnervation in her proximal arm and leg muscles.
Diagnostic procedure
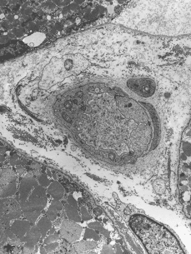
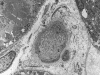
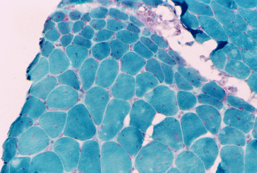
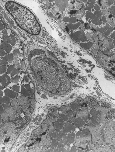
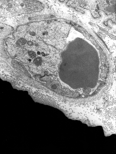
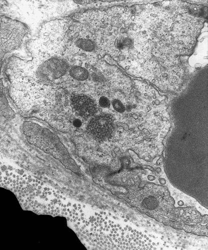
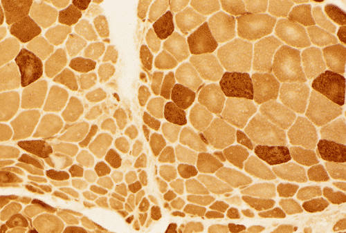
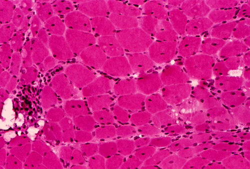
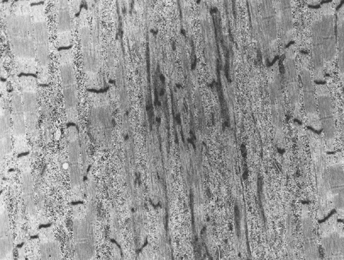
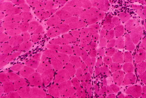
A biopsy was performed. The followings are representative photomicrographs of the biopsy material.
Pathology of the case:
![]() |
![]() |
![]() |
![]() |
![]() |
![]() |
| A. | B. |
C. Trichrome |
D. ATPase pH 9.6 |
E. Esterase |
F. |
![]() |
![]() |
![]() |
![]() |
||
| G. | H. | I. | J. |
What is your diagnosis? Discussion