A 17 year-old Boy with Hemoptysis.
December, 2003, Case 312-2. Home Page

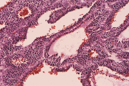
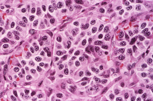
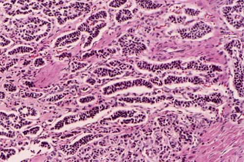
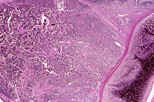
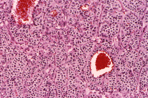
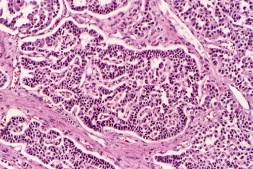
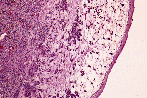
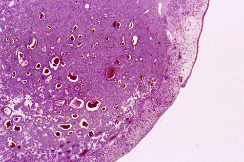
Clinical information: The patient was a 17 year-old boy who was in good health and was an active basket ball player. There was no history of asthma or other major illness. He developed chronic cough, wheezing and shortness of breath about 13 months before presentation.  The patient was initially treated in an outside facility under the clinical impression of asthma and his condition improved. Two months before presentation to our institution, he developed fever spikes with worsening of his cough and sputum production. There was also a weight loss of 10 pounds. His pulmonary function tests showed an obstructive pattern with both inspiratory and expiratory abnormal flow volume loops suggestive of variable intrathoracic airway obstruction. The PPD test was negative. A chest x-ray revealed mild atelectasis in the right upper lobe. A bronchoscopy was performed and a biopsy was taken. Based on the pathology results of the biopsy, a lobectomy of the right upper lobe was performed. The following photographs were taken from representative areas of the surgically resected specimen.

         
Com312-2-Gross.gif (149652 bytes) Com312-2-LM1.gif (134696 bytes) Com312-2-LM2.gif (125034 bytes) Com312-2-LM4.gif (150296 bytes) Com312-2-LM3.gif (139987 bytes)  Com312-2-MM3.gif (142953 bytes)
A B C D E F
Com312-2-MM1.gif (140234 bytes)  Com312-2-MM4.gif (143418 bytes) Com312-2-MM2.gif (119986 bytes)   Com312-2-HM1.gif (127227 bytes)    
G H I J    

What is your differential diagnosis for the macroscopic pathology?
What is your histologic diagnosis?  Discussion