A 33 year-old Man with an Epidural Mass in the Thoracic Spine.
January, 2004, Case 401-1. Home Page

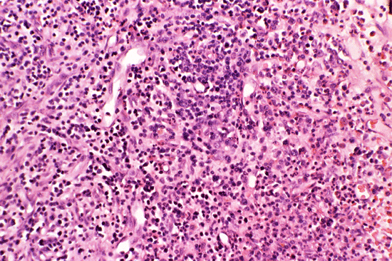
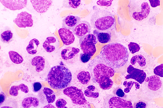
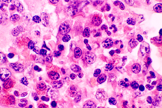
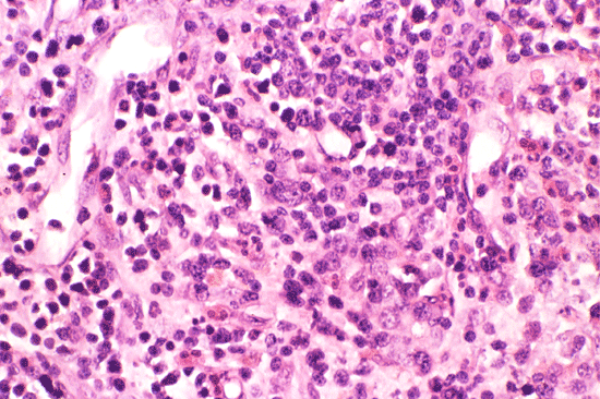
A bone marrow biopsy was performed. The followings are representative photos taken from the bone marrow biopsy: 

Com401-1-B1.gif (137270 bytes) Com401-1-B2.gif (127871 bytes) Com401-1-B3.gif (174580 bytes) Com401-1-B4.gif (156845 bytes) Com401-1-B5.gif (138860 bytes)  
H.
DiffQuick
I.
DiffQuick
J.
DiffQuick
K.
DiffQuick
L.
DiffQuick
 
What is your diagnosis?  Discussion