| A 10 year-old Boy with
Headache, Rapid Neurologic Deterioration, Leptomineal and Parenchymal
Enhanement. November, 2005, Case 511-1. Home Page |
Clinical information: In August, a previously healthy 11 year-old boy was presented to a clinic with the initial complain of headache. A few hours later, he started to have nausea and vomiting. The vomiting became bilious later. There was no associated diarrhea, cough, or rash. The patient became progressively listless and lethargic. He was treated by his physician but his condition continue to deteriorate. One day later, he was hallucinating, confused, and had brief episodes of stiffening. The child was admitted to the emergency room on the same day. Blood cultures for bacteria and enterovirus were negative. On admission, he was obtunded and had some photophobia but he was spontaneous opening of eyes and some purposeful movement. The peripheral white blood cell count was 24,600 cells/mm3 with 79% neutrophils. For the cerebrospinal fluid (CSF), the glucose level was 58 mg/dl, protein was 256 mg/dL, and there were 2079 white blood cells per mm3 and there were 79% neutrophils. A test for Cryptococcus neoforman antigen was negative in the CSF. A diagnosis of meningitis was made and the child was treated with vancomycin and ceftriaxone. His condidtion did not improve. A CT scan revealed evidence of increased intracranial pressure and tonsillar herniation. An MRI scan revealed diffuse cerebral edema. The lateral and fourth ventricles were totally effaced and there was uncal and tonsillar herniation. There was also focal patchy changes in the left cerebellum and globus pallidus that are suggestive of infarction. There was also diffuse enhancement of the leptomeninges, bilateral frontal lobes and bilateral temporal lobes. He also had high fever with a temperature of 40.3 ˚C.
Despite maximal medical therapy including the use of multiple antibiotics, the child died 78 hours after his initial complain of headache.
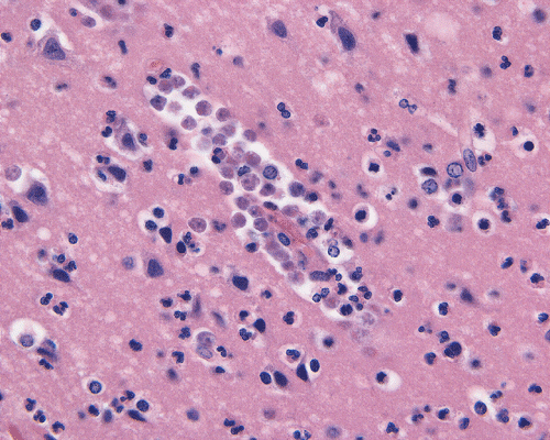
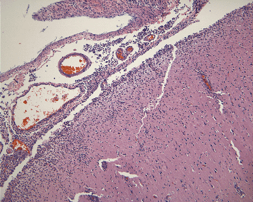
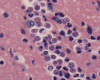
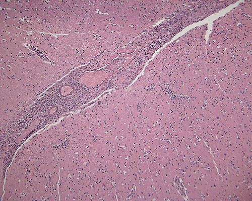
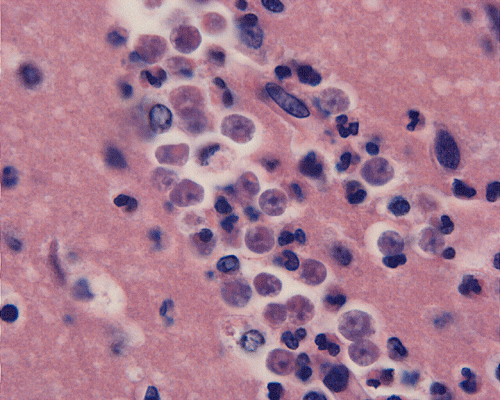
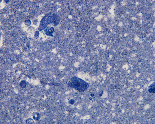
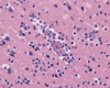
An autopsy limited to the brain was performed. The followings are representative photographs of the brain:
![]() |
![]() |
![]() |
![]() |
![]() |
![]() |
| A. | B. | C. | D. | E. | F. |
![]() |
![]() |
![]() |
![]() |
![]() |
|
| G. | H. |
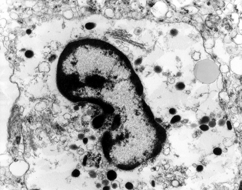
I. Semithin |
J. Semithin |
K. |