| A 75 year-old Man with
Progressive Weakness and Multiple Lesions in the Brain. May, 2006, Case 605-1. Home Page |
Clinical information: The patient was a 75 year-old, right handed man who developed some progressive weakness over the last few month. There was also some right facial weakness. His weakness progressed to the point the he had multiple falling. The patient also complained of lost of balance, generalized weakness, and lost of coordination.. There was no complain of headache. There was also a history of colon cancer with surgery 6 years before the current presentation. He also had remote tonsillectomy and adenoidectomy.
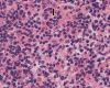
On physical examination, the patient was alert to time, place, person and current events. The speech and compresension were fluent and intact. No cranial nerve abnormalities were found. Systemic workup did not reveal any other mass or space occupying lesion. On MRI, there were several intra-axial, diffusely and irregularly enhancing masses in the right cerebral hemisphere, right cerebellar peduncle, and the pons. A biopsy was performed. Representative photomicrographs are show in the followings:
![]() |
![]() |
![]() |
![]() |
|
![]() |
|
A. Squash DiffQuick |
B. Squash DiffQuick |
C. Squash |
D. Frozen |
E. Frozen |
F. |
![]() |
![]() |
![]() |
![]() |
![]() |
![]() |
| G. | H. | I. | J. | K. |
L. Reticuin |
![]() |
![]() |
![]() |
![]() |
![]() |
![]() |
|
M. LCA |
N. LCA |
O. CD3 |
P. CD3 |
Q. CD20 |
R. CD20 |