A 51 year-old Man with a Sellar Mass.
April, 2012, Case 1204-1. Home Page

Kwok Ling Kam, M.B., B.S., FRCPA 1, Kar-Ming Fung, M.D., Ph.D.2 Last updated on  on  May 25, 2020.

1 Department of Pathology, Feinberg School of Medicine, Northwestern University, Chicago, Illinois

2 Department of Pathology, University of Oklahoma Health Sciences Center, Oklahoma City, Oklahoma

Clinical information:

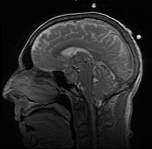
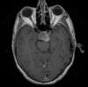
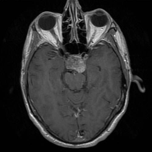
The patient was a 51 year-old man who was referred to this institute for treatment of a sellar mass. MRI revealed a 2.7 x 1.9 cm mass in the sellar region suggestive of a macroadenoma. A transphenoidal resection was performed and yielded the following images.

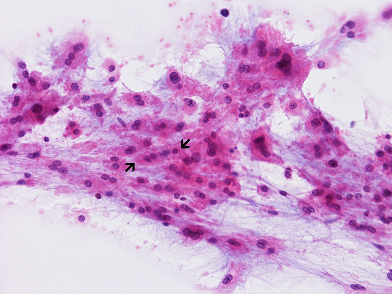
    A B
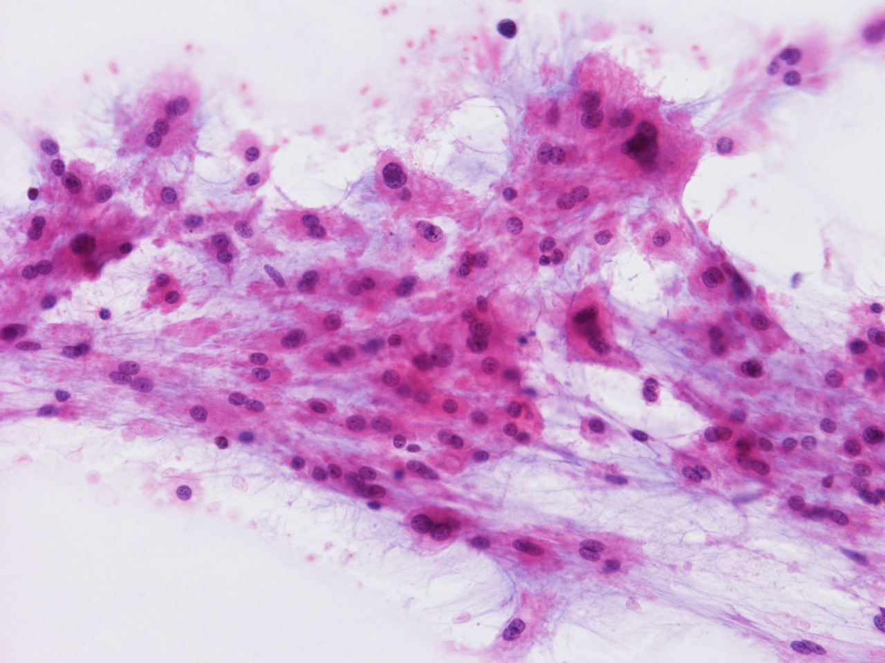
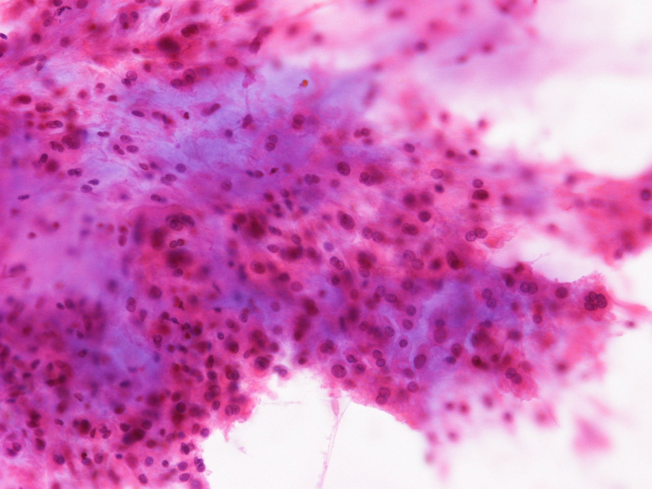
Squash preparation
C
Squash preparation
D
Squash preparation
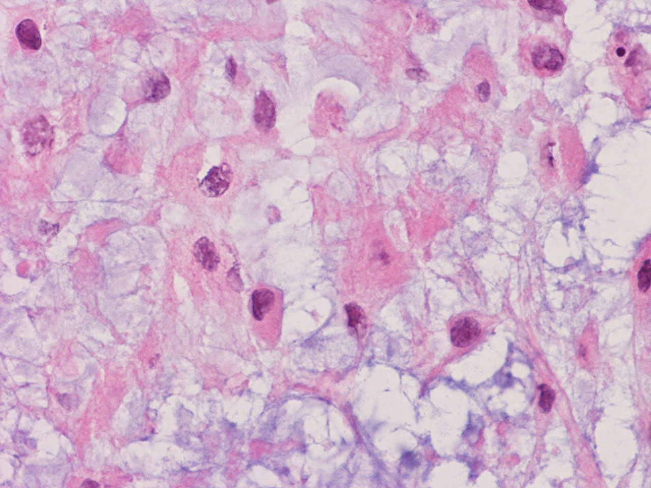
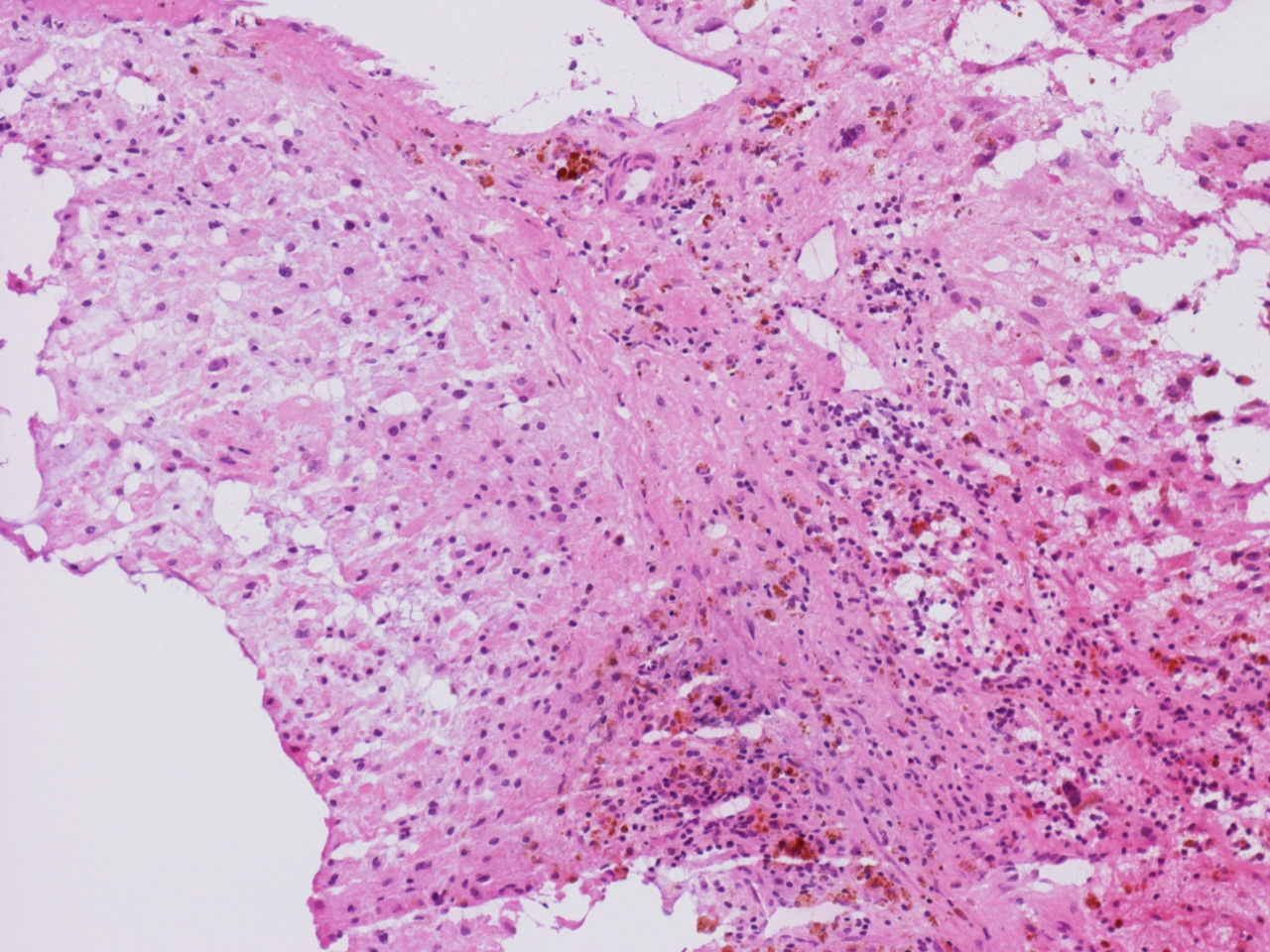
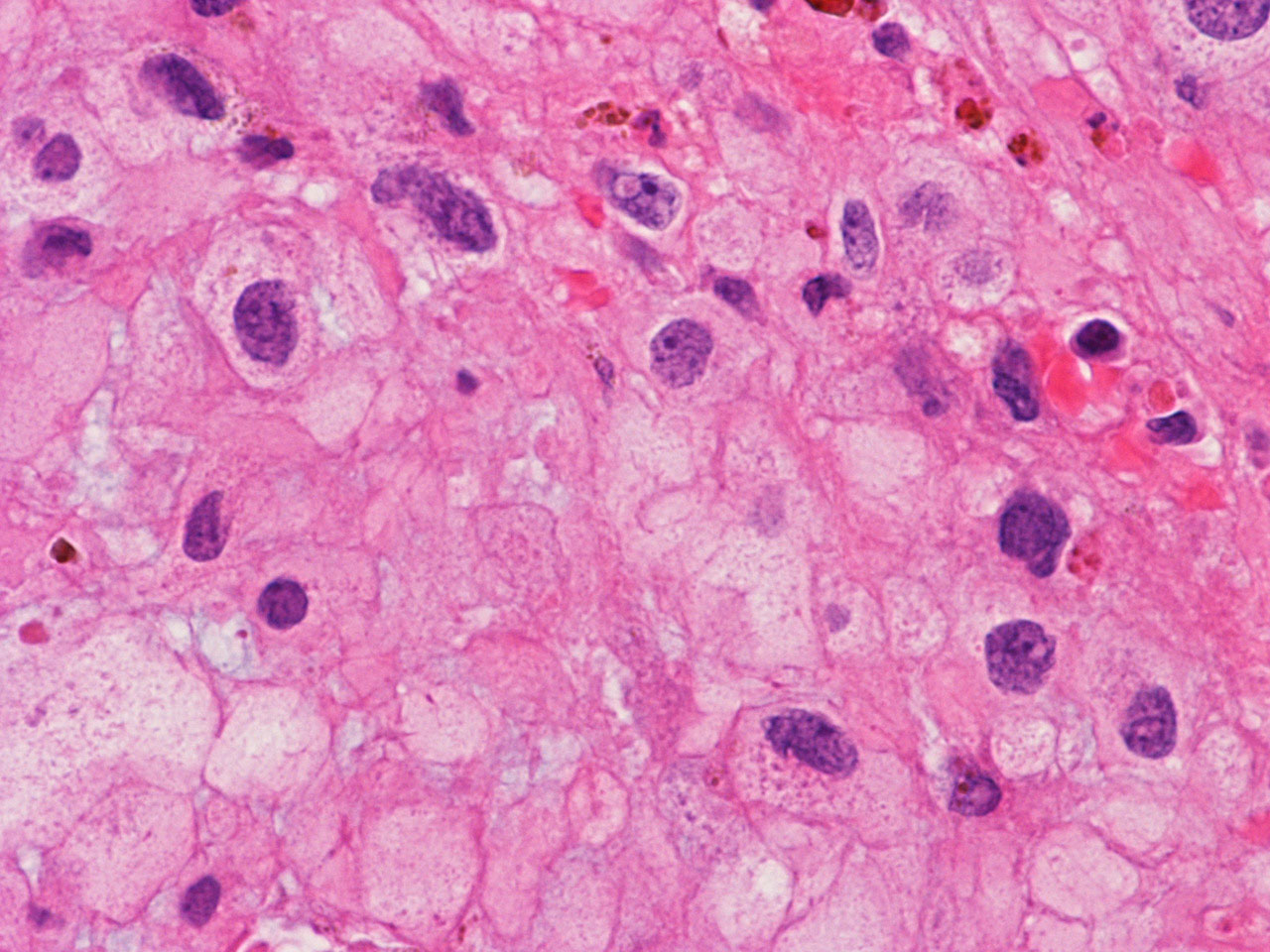
E
Frozen Section
F
Frozen Section
G H I J
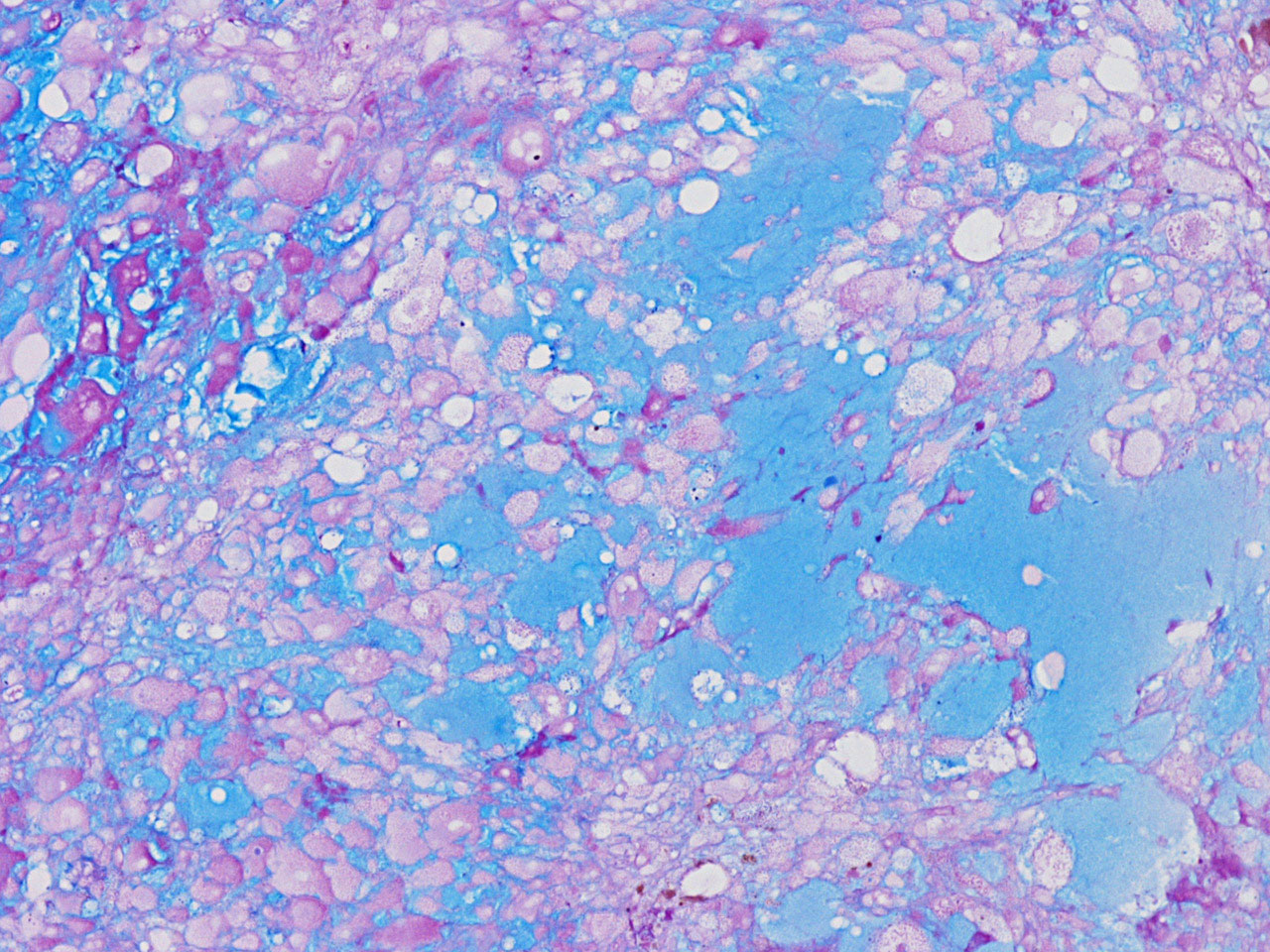
Alcian blue-PAS
     
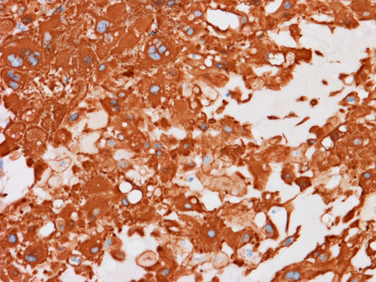
K
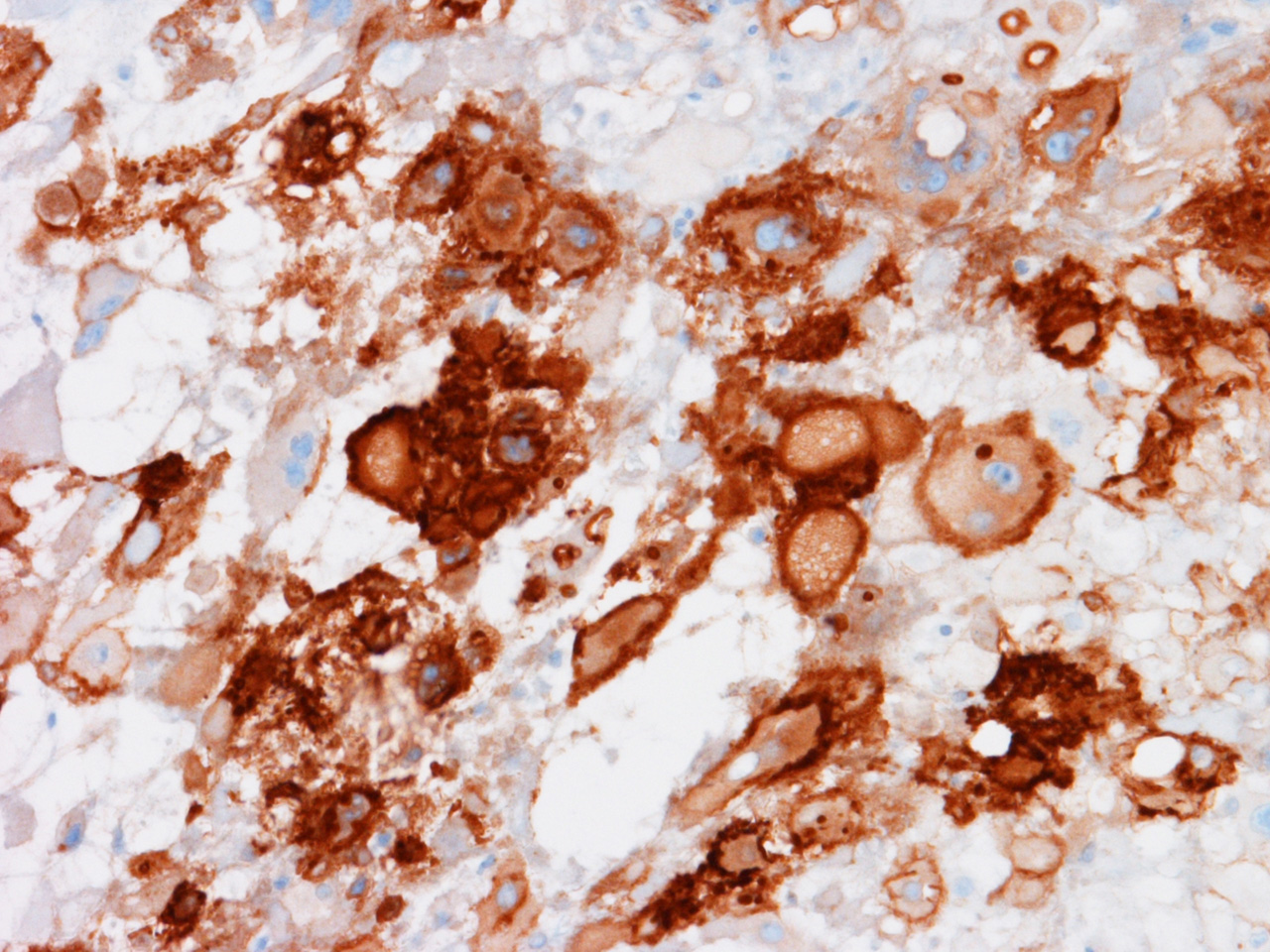
EMA
L
AE1/AE3
M
Semithin
     

Pathology of the Case: The MRI images clearly indicate the location of the lesion is in the sellar region with expansion of the sellar. Radiographically, the lesion is well-circumscribed and most consistent with a macroadenoma. The histologic details of the permanent section can be viewed in that online slide (Panel A).

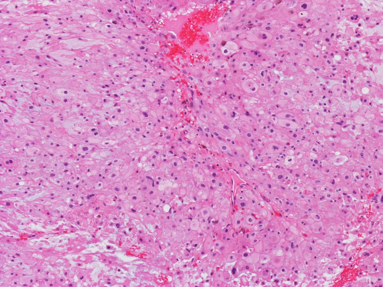
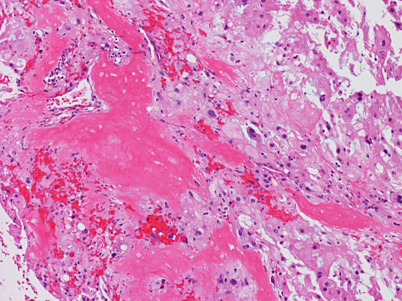
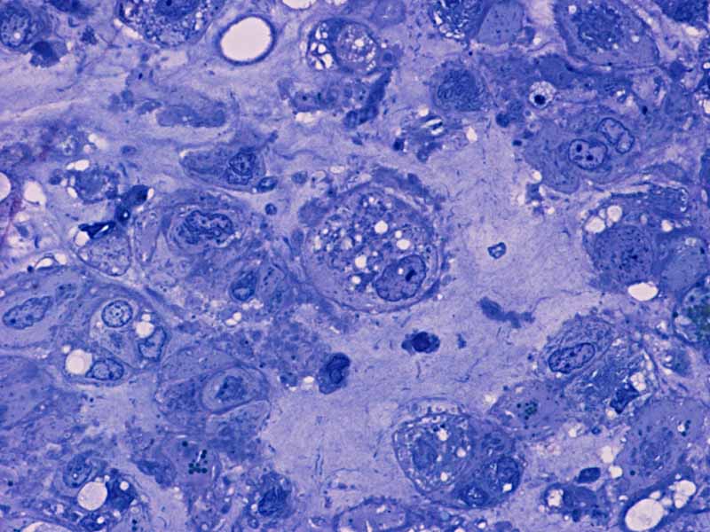
    At the time of operation, a cytologic squash preparation (H&E) was prepared (Panels BC, and D). On low magnification, the lesion is composed of large clusters of eosinophilic cells with centrally located nuclei. There is some bluish acellular substance admixed with the tumor cells (Panel B). If you pay attention, some of the cells are arranged in short chains (arrows in Panel C). This is a frequently seen phenomenon in chordoma. On high magnification, the cells have centrally located medium sized to large, hyperchromatic nuclei. The cytoplasm is finely eosinophilic but not particularly bubbly  (Panel D). The frozen sections (Panels E and Freflect the cytologic features. The tumor is composed of solid sheets of large tumor cells admixed with small amount of fibrous areas, mild chronic inflammatory cell infiltration and hemosiderin depositions (Panel E). On high magnification, the tumor cells are admixed with bluish extracellular material.  The cytoplasm is coarsely granular with fine bubbles. The permanent sections (Panel G and Hshow similar features. And the bubbly cytoplasm is more prominent in the permanent sections (Panel H). Focal bone invasion is present (Panel I). The cytoplasmic vacuoles are best appreciated in the semithin section (Panel M). Results of special studies are as follows:

  Special Stain:

  Immunohistochemistry:

  Electron microscopy:

DIAGNOSIS: Chordoma

Discussion: General Information    Pathology    Immunohistochemistry   Molecular Pathology   Differential diagnosis   Other cases

General:

Chordoma is an uncommon malignant, slow growing, locally aggressive tumor with low metastatic potential and histologic features of the notochord. In the World Health Organization (WHO) classification, three distinct types are recognized namely chordoma, chondroid chordoma, and dedifferentiated chordoma. All three are malignant and has a high rate of recurrence. Transformation of chordoma into a high-grade spindle cell sarcoma (dedifferentiation) has been described with and without radiation therapy [Tsuboi Ys et al., 2007Hanna SA et al., 2008].

Chordoma have close histologic similarities with the notochord which is the purported origin [McMaster ML, 2001]. However, it is unclear on whether all chordomas arise from notochord remnants. The existence of soft tissue chordoma suggests that notochord remnant is not a prerequisite for the development of chordoma [Lauer SR et al, 2013 ]. Familial clusters have been described [Kelly MJ et al., 2001; Wang et al., 2015; Kelly MJ et al., 2014]. Some are linked to chromosome 7q33 [Kelly MJ et al., 2001] and T (Brachyury) gene duplication [Yang XR et al., 2009; Wang et al., 2015]. Most cases are unifocal but rare multicentric cases have been described [Grossbach A et al., 2011Lim JJ et al., 2009Anderson WB & Meyers HI 1968].

After osteosarcoma, chondrosarcoma, and Ewing sarcomam, chordoma is the fourth most common osseous tumor. Similar to Ewing sarcoma, chordoma is less common in black patients.  Sacrococcygeal and sphenooccipital regions are the most common location but it can be found along the entire axial skeleton. Within the skull, the clinoid region (clivus) is the most common. Occurrence in the sellar region as in this case is uncommon. Chordomas typically occur in the 5th and 6th decade but it can occur in all age groups include children. About 5% of the cases would occur before the age of twenty and they are typically skull base tumors [Hoch BL et al., 2006]. Most chordomas occur as osteolytic lesions and occasionally as sclerotic lesions on radiographic studies. Clinical manifestations typically rooted from its space occupying features.

Chordomas are locally aggressive tumors that tend to recur and have low metastatic potential.  Metastases occur late in the disease course, with lungs and skin being the most common sites for disease spread. Chordomas have a poor response to conventional radiation therapy or chemotherapy, but are amenable to surgical excision. Survival is affected by the success or failure of local control. With its strategic cranial base location, complete surgical is often a challenge. Interestingly, chordomas are very response to proton therapy [Tauziede-Espariat A et al., 2016; Kabolizadeh P et al., 2017]. 

Pathology:

Grossly, chordomas are soft to mucoid or gelatinous gray-tan masses. Its multilobulated contour is better appreciated on imaging than on fragmented surgical specimens. In contrast to chondrosarcoma arising in the skull base which tend to be eccentrically locatred, chordomas typically arise along the midline.

The characteristic histologic findings in chordomas are large polygonal cells with distinct cell membrane and the vacuolated physaliphorous cytoplasm, the term deriving from the Greek physalis, or "bubble. The vacuolated or physaliphorous cells are best appreciated in cytologic smears or squash preparations. Tumor cells grow in small nests and cords within a myxoid/chondroid matrix and demonstrate round, sometimes rather uniform nuclei with low nuclear-to-cytoplasmic ratios. The tumor cells tend to adhere into clusters and cords. The classic large physaliphorous cell has a centrally located nucleus surrounded by a narrow rim of cytoplasm that in turn, is encircled by a ring of more peripherally located cytoplasmic vacuoles. Nuclear grade is not particularly high in some cases but many of them have clearly recognizable nuclear pleomorphism. Occasional large, atypical cells are present. These nuclear changes should not be present in benign notochordal cell tumor and ecchordosis physaliphora/fetal vestige [Amer & Hameed, 2010]

On cytologic smears [Crapanzano JP et al., 2001], chordoma cells tend to be cohesive but not as cohesive to each other as carcinomas. Strings of chordomas are common features.

Chondroid chordomas typically occur in the skull base. It contains matrix that resemble hyaline cartilage and this component can be diffuse or focal [Oakley GJ et al., 2008]. Dedifferentiation (dedifferentiated chordoma) can occur and the dedifferentiated component appears as high-grade sarcoma. Dedifferentiated chordoma usually compose of a well-demarcated high-grade sarcomatous component arising in a background of chordoma. When no residual low-grade component present, correct diagnosis can be a challenge. The anatomical location and a high index of suspicion are good diagnostic help. 

Immunohistochemistry:

On immunohistochemistry, nuclear expression of brachyury (a T-box transcription factor encoded by the TBXT gene involved in notochordal development) is a highly specific marker when the clinical and histopathologic features are taken into consideration [Miettinen M et a., 2015Oakley GJ et al., 2008Vujovic S et al., 2006Sangoi AR et al., 2011Clayton EF et al., 2013]. With this said, one must note that nuclear expression of brachyury is also expressed in about three quarter of the cases of embryonal carcinoma, half of the cases of seminoma and a minor proportion of yolk sac tumor, and 41% of small cell carcinoma [Miettinen M et a., 2015]. Brachyury is also expressed in the cytoplasm of intracranial hemangioblastoma [Barresi V et al., 2012] but not in peripheral hemangioblastoma [Doyle LA & Fletcher CD, 2014], primary carcinoma of lung [Haro A et al., 2013], prostate cancer [Pinto F et al., 2014], and colorectal carcinoma [Kilic N et al., 2011]. Although brachyury is usually positive for chordoma, immunoreactivity can be lost in decalcified tissues, and it is not typically expressed in the dedifferentiated component of dedifferentiated chordomas.

Loss of SMARCB1/INI1 (can be demonstrated by immunohistochemistry to BAF47) is common [Buccoliero AM et al., 2019Mobley BC et al., 2010Antonelli M et al., 2017] and is usually seen in poorly differentiated cases. In up to 50% of the pediatric cases, INI1 is lost [Antonelli M et al., 2017]. With the skull base location taken into consideration and the high-grade histologic features, these tumors can be misdiagnosed as atypical teratoid/rhabdoid tumor.

Chordomas are typically positive for brachyury, pan-cytokeratin, epithelial membrane antigen, SOX9, SHH, cathepsin K, and cadherin. Although the combination of characteristic morphology with strong positivity for pan-cytokeratin are diagnostic for chordoma until proved otherwise, one must note that chordomas are typically negative for cytokeratin 7 and cytokeratin 20 [Folpe AL et al., 1999]. Expression of cytokeratin 18 is variable.   Chordoma is variably positive for S100. This is different from chondrosarcoma where S100 is typically evenly and strongly expressed. Ki67 labeling is moderate to high. This is an important features to distinguish chordoma from benign notochordal cell tumor and ecchordosis physaliphora/fetal vestige [Amer and Hameed, 2010].

Genetics & Molecular Pathology:

Chordomas have frequent cytogenetic abnormalities that include monosomy of chromosome 1 and gain of chromosome 7. They show a near diploid to moderately hypodiploid karyotype. Homozygous or heterozygous loss of CDKN2A and CDKN2B are found in about 70% of cases [Vujovic S et al., 2006]. Loss of PTEN and amplification of EGFR are also seen [Shalaby A et al., 2011]. Activating mutations in the mTOR pathway, PDGFB, IGFR1 and IGF1 are also identified. Somatic mutations are very rare. One study found somatic mutations in PIK3CA in 3 (of 287) low grade chordomas [Tauziéde-Espariat et al., 2016].

Treatment:

Surgical resection with a clear margin is still the best positive prognostic factor. However, chordomas occurring in particularly skull base may make complete resection impossible. If total resection is not possible, adjuvant radiation and proton radiation may provide a good short-term outcome [Kabolizadeh P et al., 2016]. There are many ongoing clinical trials to explore potentially more treatment options targeting the molecular pathways such as those involving in PD-L1 [https://clinicaltrials.gov/ct2/show/NCT03623854].

Prognosis:

Tauziéde-Espariat et al., (2016) proposed a histopathologic grading system using histopathologic differentiation, mitotic count, apoptosis, prominent nucleoli, necrosis, Ki67 count, and p53 expression as parameters. With their scoring system, tumors are separated into low- and high-grade that reflect prognosis. Prognosis of chordoma depends on the location and if complete resection is possible. The 3, 5 and 10-year overall survival of vertebral chordoma according to the SEER study [Pan Y et al., 2018] on 808 patients is 80.5%, 68.4% and 39.2%, respectively. In addition, age (>60 years), distant metastasis and non-surgical therapy were independent risk factors for survival reduction.

Differential Diagnosis:

Benign notochordal tumor vs. chordoma vs. ecchordosis physaliphora/fetal vestiges: Both benign notochordal tumor and ecchordosis physaliphora [Amer & Hameed, 2010] are typically under 4 cm and are often incidental findings while chordomas are much larger and often symptomatic. Radiographically, chordomas are more aggressive, usually with infiltration into the surrounding soft tissue, while benign notochordal tumor and ecchordosis physaliphora are non-invasive. Histologically, the basic histologic features are similar but with subtle recognizable differences. Benign notochordal tumor typically has fatlike clear cells, eosinophilicl cells, and physaliphorous cells. Ecchordosis physaliphora typically has strands of eosinophilic notochordal cells with small pyknotic nculei in a myxoid background. Nuclear atypia is present in chordoma but not in the other two entities. Chordoma also has classic lobular arrangement and fibrous bands in between tumor cells. Myxoid background are present at least focally in most cases. Mitotic fibures should only be seen in chordoma. Some chordomas can be overtly pleomorphic in appearance with high grade nuclei. These cases should not be a challenging situation. The immunohistochemistry profile is very similar except that benign notochordal tumor are typically positive for cytokeratin 18 which is only variably expressed in chordoma and ecchordosis physaliphora.  The most important difference is that chordoma has much higher Ki67 labeling index.

Atypical notochordal cell tumorCarter JM et al., reported 4 cases of notochordal tumors all from the lumbar and sacral spine with histologic features of benign notochordal tumors with with invasive radiographic findings including cortical permeation with minimal soft tissue extension. While all four of them have features of benign notochordal tumor, two of them also have focal myxoid changes. Three of them behaved in a benign fashion with no recurrence, one of them demonstrated a slow interval growth [Carter JM et al., 2017]. Kreshak J et al. also reported cases similar cases in the spine [Kreshak J et al., 2014] .but some in this series of 4 cases has mixed component of benign notochordal tumor and chordoma.

Parachordoma (myoepithelioma/mixed tumor of soft tissue): First and foremost, parachordoma, must be distinguished from genuine soft tissue chordoma which are positive for brachyury [Lauer SR et al., 2013]. Parachordoma is a rare tumor that has not been reported to occur in the skull. They usually occur as subfascial mass in thigh, arm, and chest wall. It is a tumor that has morphologic features of both chondrosarcoma and chordoma.  The peak incidence is the second to fourth decades of life and a small number are noted in pediatric patients. Most of them are seen in the head and neck region, often in a subcutaneous or deep location. The histopathology is similar to myoepitheliomas occurring in salivary glands. These tumors that are classically regarded as "parachordoma" demonstrate a spectrum of morphology from spindle to epithelioid cells to pale staining cells with collagenous to chondromyxoid stroma. Some of these contains small nests of cells with pale to eosinophilic cytoplasm resembling chordoma cells and grow in cords, chains, and clusters resembling myxoid chondrosarcoma. Some of these cells may transform into spindle or round-globoid cells. The level of nuclear atypia and mitotic count are both low. Immunohistochemically, these tumors are negative for brachyury. They strongly express cytokeratins 8/18 but not other cytokeratins. They also express EMA, S-100 protein, vimentin, CD34, and type IV collagen [Folpe AL et al., 1999]. This profile, in fact, overlaps with that of chordomas. Myoepithelial markers such as muscle specific actins, p63, calponin, and glial fibrillary acidic protein (GFAP) are positive in some of the cases [Folpe AL et al., 1999Hornick JL et al., 2003]. Last but not the least, many of these tumors show rearrangement of the EWSR1 gene [Flucke U et al., 2012Flucke U et al. 2011Antonescu CR et al., 2010].

Metastatic clear cell carcinoma and soft tissue chordoma: When chordoma is obtained from the classic locations, it is usually not a major diagnostic challenge as the histopathology in most of these cases are classic. The two major challenges include genuine soft tissue chordoma [Lauer SR et al., 2013] and metastatic chordoma without knowing the history. Chordomas are positive for cytokeratin. When this is interpreted with the large round to polygonal epithelioid cells, soft tissue chordoma and metastatic chordoma can be mistaken as metastatic clear cell carcinoma. A high index of suspicion, informative clinical history, and utilization of the appropriate immunohistochemical panel are the key to resolve this situation.

Chondrosarcoma: Chondrosarcoma occurring in a location where chordoma can be found may pose a diagnostic challenge, especially on small biopsies. In the sacral and cranial base, chondrosarcomas are often eccentric while chordoma is located almost perfectly along the midline. In contrast, chordoma cells are large and have abundant eosinophilic cytoplasm. Their numerous desmosome-type intercellular junctions cause the cells to be tightly opposed to one another without intervening matrix, producing cohesive nests or sheet-like structures. In squash preparations, they may appear as short strings of cells. Chordoma cells also like to wrap around another chordoma cells as if one is "hugging" the other. It is not uncommon for the tumor cells like chondrosarcoma and choroid glioma to have to have bubbly cytoplasm. Genuine lacunae are not seen in chordoma but in chondrosarcoma. This is important because most chondrosarcoma arising from the cranial base are low-grade tumor with well-formed lacunae. Chondrosarcomas are typically immunoreactive for D2-40 (podoplanin) and EMA, but negative for pancytokeratin and glial fibrillary acidic protein (GFAP). In contrast, chordoma is typically positive for brachyury, EMA and pan-cytokeratin, but negative for D2-40 and GFAP. About 50% of chondrosarcomas harbors mutation of IDH1 and IDH2 [Aria M et al., 2012], which is not seen in chordoma Podoplanin is positive for chondrosarcoma but not chordoma [Oakley GJ et al., 2008].

Atypical teratoid/rhabdoid tumor (AT/RT): Lost of INI1 on immunohistochemistry is common and is present in about half of the cases of pediatric chordomas [Buccoliero AM et al., 2019Mobley BC et al., 2010Antonelli M et al., 2017]. This occurs often in poorly differentiated cases. This may post a diagnostic pitfall as AT/RT is characterized by loss of INI1. AT/RT is usually seen in infants and less commonly in older children. Chordoma is usually seen in adult. AT/RT is usually a tumor within the parenchyma (intr-axial) of the brain. Chordoma is often intraosseous or has an intraosseoous component. Histologically, they are very different. AT/RT is polyphenotypic and is positive for synaptophysin, glial fibrillary acidic protein, neurofilament and other markers, while negative for brachyury.

Dedifferentiated chordoma: The presence of components of a typical chordoma or a prior history of chordoma with recurrence are both helpful in making this diagnosis. The dedifferentiated chordoma would have histology of a high-grade spindle cell sarcoma and the characteristic immunohistochemical profile of a chordoma may not be detected, such as brachyury may be lost in the dedifferentiated component It should be noted that de novo dedifferentiated chordomas have been described [Hanna SA, 2008].

Chordoid meningioma: Meningioma arising at the base of skull may invade into bone. In these cases, the bulk of the tumor is mostly extra-osseous and intra-cranial. Pure intra-osseous meningioma can occur but is rare [Abuzayed B et al., 2019Butscheidt S et al, 2019]. Chordoid meningioma is characterized by areas with stroma vaguely reminiscent of chordoma and within this background are neoplastic epithelioid to round, polygonal meningothelial cells with pale cytoplasm vaguely reminiscent that of chordoma. The matrix is positive for Alcian blue. When this component exceeds 50% of the volume of the tumor, a chondroid meningioma of WHO grade II can be made. It is rare to see pure chordoid meningioma that would suggest chordoma. Most of them are admixed with classic meningothelial meningioma or other patterns. Chordoid meningiomas are positive for somatostatin receptor 2a (SSTR2a), EMA, progesterone receptor and negative for brachyury.

Chordoid glioma: This tumor occurs in the third ventricle and the chordoid matrix vaguely suggest a chordoma, but the location is a big help. In addition, these tumors are positive for glial fibrillary acidic protein and negative for brachyury.

Myxopapillary ependymoma: Myxopapillary ependymomas occur most commonly in the cauda equina but not as intra-osseous tumor. It is a WHO grade I tumor and does not invade bone. Other than the mucoid component that may suggest chordoma, it has very little histopathologic resemblance with chordoma. Myxopapillary ependymoma is negative for brachyury and positive for glial fibrillary acidic protein.

Other Cases: